Thiếu nữ mang sẹo trong mắt vì kính áp tròng
![]() |
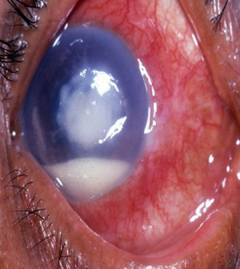
| Hình ảnh của loét giác mạc. |
Sẹo giác mạc vì kính áp tròng
Nguyễn Thị Thùy L. trú tại Hai Bà Trưng Hà Nội bị loét giác mạc. Thùy L. cho biết hơn một năm trước cô cũng là tín đồ của kính áp tròng. Đến tháng ba vừa qua, Linh thấy mắt mình hay bị chói, đau mắt và xuất hiện các đốm trắng trong mắt. L. không đi khám bệnh mà chỉ ở nhà nhỏ nước muối.
Tiến sĩ, bác sĩ Nguyễn Thu Thủy – Khoa Khám bệnh và điều trị ngoại trú cho biết khi đến khám, một bên mắt của L. có nhiều chấm trắng viêm do việc sử dụng kính áp tròng không đúng cách. Khi đến bệnh viện, một bên mắt của L. không bị viêm, cô vẫn đeo kính áp tròng.
Bác sĩ phải khuyên bệnh nhân tháo kính áp tròng ra để điều trị loét. Tuy nhiên, L. đi khám muộn, vết loét nặng dù điều trị bằng thuốc, vẫn để lại sẹo ở giác mạc. Chỉ cần nhìn bằng mắt thường vẫn có thể nhận ra mắt có sẹo trong.
L. buồn bã vì không có cách nào xử lý được vết sẹo này. Bác sĩ Thủy cho biết trong trường hợp sẹo giác mạc, giảm thị lực bệnh nhân chỉ có biện pháp thay giác mạc nhưng việc thay giác mạc cũng không dễ vì ngân hàng giác mạc còn hạn chế, số lượng bệnh nhân ưu tiên cho việc thay giác mạc còn rất nhiều.
Trường hợp của bạn Bùi Thu H.. trú tại Kim Liên, Hà Nội cũng tương tự. H cũng bị loét giác mạc vì đeo kính áp tròng nhiều lần, không đúng cách khiến vi khuẩn tấn công vào giác mạc. H. luôn bị cộm mắt, đau mắt vì kính áp tròng. Dù bỏ không đeo kính nhưng vết loét vẫn tấn công giác mạc.
H may mắn hơn khi cô đến bệnh viện khám sớm nên các chấm loét trắng đã được điều trị kịp thời, chỉ còn mờ, không để thành sẹo trong mắt.
Khoa khám bệnh của Bệnh viện Mắt và Bệnh viện Mắt Hà Nội đã khám và điều trị cho hơn 100 bệnh nhân từng sử dụng kính áp tròng thời trang bị các bệnh về mắt (viêm, loét giác mạc do nhiễm khuẩn), chủ yếu là lứa tuổi từ 16 - 30. Các bạn trẻ đều có đam mê thay đổi màu mắt theo thời trang, giúp mắt to, long lanh hơn. Tuy nhiên thực tế bác sĩ Thủy cho biết “không phải ai cũng có thể đẹp hơn nhờ kính áp tròng”.
Đeo kính phải có chỉ định của bác sĩ
Giống như kính gọng, bác sĩ Thủy khuyến cáo, kính áp tròng cũng có số, có cỡ. Kính áp tròng được xem là thiết bị y tế, dùng điều chỉnh các tật khúc xạ của mắt, hoặc dùng để đáp ứng nhu cầu thẩm mỹ, điều trị một số bệnh nhãn khoa. Hiện nay, các bệnh nhân có bệnh lý về mắt buộc phải sử dụng kính áp tròng, bác sĩ sẽ kê đơn và phải sử dụng theo chỉ định của bác sĩ cũng như được bác sĩ theo dõi.
Hiện nay, nhiều bạn trẻ lạm dụng kính áp tròng màu. Mặc dù kính này cũng có phân cấp độ nhưng không phải ai cũng làm được. Có những bệnh nhân sử dụng kính hàng ngày loại kính sử dụng nhiều lần, không ngâm trong dung dịch khử trùng cho kính như hướng dẫn. Khi đưa kính lên ngón tay cho vào mắt sẽ mang theo vi khuẩn. Do kính tác dụng trực tiếp lên con ngươi nên vi khuẩn có thể tấn công vào giác mạc.
Thực tế, các bạn trẻ thích đeo kính áp tròng màu và thường xuyên thay đổi màu mắt mà không hỏi ý kiến bác sĩ. Nhưng vị chuyên gia nhãn khoa này cho hay, chỉ những người có đôi mắt khỏe mạnh, không bị bệnh gì và không dị ứng với chất liệu làm kính mới có thể sử dụng kính áp tròng. Trước khi quyết định đeo, người sử dụng phải đi khám mắt cẩn thận và chỉ dùng nếu có chỉ định của bác sĩ.
Đeo kính áp tròng lâu có thể gây vi sang chấn, tức là những chấn thương nhỏ, không thể phát hiện khi nhìn bằng mắt thường. Những vết xước này nếu không được điều trị ngay có thể trở thành sẹo làm suy giảm thị lực, viêm loét giác mạc, thậm chí dẫn đến mù lòa.
Biểu hiện khi gặp biến chứng từ kính giãn tròng thường là khó chịu, cộm ở mắt, nặng gây chói mắt, nhức mắt. Để biết được mắt có bị tổn thương hay không, các bác sĩ phải nhuộm giác mạc rồi soi dưới kính hiển vi. Những vết xước nếu điều trị ngay có thể thành sẹo như trường hợp của L., nếu để lâu có thể gây viêm loét giác mạc, giảm thị lực, thậm chí dẫn đến mù lòa.
