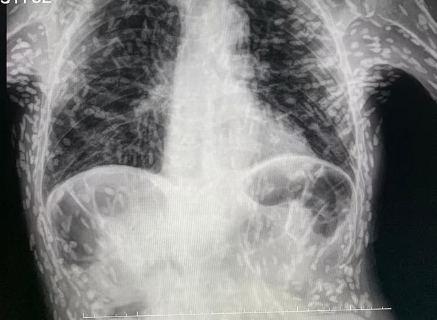
Phim X-quang hé lộ nguyên nhân ít ngờ khiến bệnh nhân ho dai dẳng
Theo Daily Mail, hình ảnh do bác sĩ Vitor Borin de Souza (Bệnh viện Clinicas in Botucatu, Brazil) cung cấp. Trên phim có hàng trăm đốm trắng, mỗi đốm đại diện cho phần bị vôi hóa của một loại ký sinh trùng.
Tình trạng này, được gọi là bệnh nang sán, xảy ra khi ấu trùng của một loài sán dây, thường sống trong ruột, xâm nhập vào các mô như cơ hoặc não. Ở đó, chúng tạo thành các nốt cứng giống như u nang dưới da.

Mặc dù gây khó chịu nhưng các ấu trùng đã chết nên thường vô hại trừ khi tồn tại trong não, dây thần kinh hoặc mắt. Bác sĩ Souza lý giải: “Người bệnh ăn phải trứng sán dây (tồn tại trong chất thải của người bị sán dây). Bởi vậy, bạn phải rửa kỹ thực phẩm trước khi ăn”.
Bệnh nhân trên cần chụp MRI để kiểm tra có bất kỳ u nang nào trong não hay không. Nếu tồn tại ở vị trí đó, các u nang do ký sinh trùng để lại có thể gây ra nguy hại cho sức khỏe.
Khi đó, bệnh nhân có thể đau đầu, thậm chí co giật, lú lẫn, chóng mặt và não úng thủy, tình trạng dư thừa chất lỏng trong não. Bác sĩ thường chỉ định loại bỏ u nang trong những trường hợp này. U nang cũng có thể xâm nhập vào mắt, gây mờ hoặc rối loạn thị lực và có khả năng gây nhiễm trùng.
Bản thân các u nang có thể chỉ phát triển vài tháng hoặc vài năm sau khi nhiễm trứng sán dây ban đầu.
Sán dây gây bệnh nang sán có tên là Taenia solium, còn được gọi là sán dây lợn. Trứng của loài này được truyền từ người sang người qua phân, do nguồn nước bị nhiễm bệnh hoặc rửa tay không sạch sẽ khi chuẩn bị thức ăn.
Tổ chức Y tế Thế giới (WHO) ước tính ấu trùng Taenia solium phát triển trong não là nguyên nhân gây ra tới 70% các trường hợp động kinh ở một số nơi trên thế giới. Khoảng 2,5 triệu người được cho là nhiễm Taenia solium mỗi năm, phổ biến ở các vùng nghèo của châu Á, Nam Mỹ và Đông Âu.
An Yên