Những dấu hiệu cảnh báo ung thư khoang miệng
![]() |
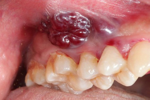
Dấu hiệu ung thư khoang miệng. |
Tưởng nhiệt miệng đi khám ra ung thư
Ông Đỗ Văn Đ. 58 tổi, trú tại Hai Bà Trưng, Hà Nội đi khám vì ở lưỡi có 1 đốm loét lâu liền.
Một lần, ông Đ. soi gương thấy vết loét có hình sù xì nên lấy tay cậy ra và càng ngày nó các to hơn nhưng không đau. Khi tới bác sĩ kiểm tra ông vẫn nghĩ đó là nhiệt miệng.
Khi khám bác sĩ nhìn tổn thương bề mặt nên nghi ngờ ung thư. Bác sĩ đã giới thiệu ông vào Bệnh viện chuyên khoa ung thư để kiểm tra. Kết quả chẩn đoán là ung thư lưỡi. Ông Đ. phải cắt 1/3 lưỡi và thực hiện hóa chất, xạ trị.
Trường hợp của ông Đào Ngọc M. 67 tuổi, Nam Định cũng đi khám vì khoang miệng có vết nhìn như hắc lào. Ông M. cho biết vết loét xuất hiện lâu nhưng không có biểu hiện gì. Gần đây, ông M. ăn uống thấy có dấu hiệu đau hơn, cảm giác như xương đâm.
Ông đi khám ở tuyến dưới, bác sĩ nghi ngờ ung thư nên giới thiệu lên Hà Nội khám. Sau khi làm xét nghiệm 2 lần kết quả đều chẩn đoán ung thư.
Cả hai bệnh nhân đều có tiền sử hút thuốc lá, thuốc lào rất nhiều và khi đi khám không ai nghĩ mình sẽ bị ung thư mà chủ quan coi đó là vết loét miệng thông thường.
Ung thư khoang miệng là bệnh ác tính có thể xuất hiện ở bất kỳ vị trí nào trong khoang miệng như lợi, lưỡi, môi, má, vòm việng, sàn miệng. Do triệu chứng bệnh khá giống với các bệnh lý viêm nhiễm tại miệng nên người bệnh thường đến bệnh viện khi bệnh đã ở giai đoạn muộn, do đó việc điều trị trở nên khó khăn, tốn kém mà hiệu quả không cao.
Ung thư biểu mô khoang miệng chiếm 30-40% các ung thư vùng đầu cổ. Năm 2002, theo thống kê trên thế giới có trên 270.000 trường hợp mắc ung thư khoang miệng và có khoảng 145.000 trường hợp tử vong do căn bệnh này và 2/3 số trường hợp mắc bệnh ở các nước đang phát triển.
Nguyên nhân gây ra căn bệnh này chủ yếu là do thói quen hút thuốc lá thường xuyên, hay niêm mạc miệng bị kích thích bởi vật nhọn như răng, đũa, xương cá...
Thủ phạm của ung thư khoang miệng
Theo PGS Nguyễn Thị Hoài Anh - Bệnh viện Đa khoa An Việt hút thuốc lá và uống rượu là 2 nguyên nhân chính dẫn đến các ung thư ở đầu cổ trong đó có ung thư khoang miệng.
![]() |
PGS NGuyễn Thị Hoài An nội soi tai mũi họng cho bệnh nhân. |
Ngoài ra, bác sĩ An cũng cho biết nguyên nhân khác gây ung thư khoang miệng ở người Việt đó là thói quen ăn trầu, vệ sinh răng miệng kém... gây nên những tổn thương trong khoang miệng tạo điều kiện thuận lợi cho tế bào ung thư phát triển.
Những virus có thể là yếu tố gây ung thư như nhiễm virus Herpes, HPV (Human Papilloma Virus), hội chứng Xeroderma pigmentosum, thiếu máu Fanconi... hay các tổn thương tiền ung thư khác trong khoang miệng như bạch sản, hồng sản, viêm nấm candida quá sản mạn tính, các vết loét do sang chấn liên tục kéo dài sẽ làm tăng nguy cơ mắc ung thư khoang miệng.
Những dấu hiệu của ung thư khoang miệng.
Bác sĩ An cho biết những người mắc bệnh có triệu chứng như đau lưỡi, khó nhai. Hiện tượng đau lưỡi, hàm răng yếu và khó nhai thức ăn cũng có thể là dấu hiệu của căn bệnh ung thư này, các nha sĩ cảnh báo.
Chảy máu bất thường trong khoang miệng, việc chảy máu có thể diễn ra tự nhiên, sau va chạm nhẹ, sau ăn uống hoặc vệ sinh răng miệng.
Vết loét hoặc vết chồi lâu lành, bác sĩ An chú ý khi mọi người nhận ấy những vết loét trên khoang miệng lâu lành trên một tháng, xuất hiện ở bất kỳ vị trí nào trong khoang miệng. Những vết loét này thường không đau, đụng nhẹ vào thấy hơi sượng cứng hoặc mất đi độ mềm mại. Đau thường xảy ra ở giai đoạn trễ hơn.
Nổi cục hạch vùng cổ không đau, bệnh nhân phát hiện nổi u hạch ở vị trí thường gặp nhất như vùng dưới xương hàm và vùng dưới cằm. Đây chính là một dấu hiệu sờ thấy của căn bệnh ung thư khoang miệng.
Cách phòng ung thư khoang miệng, bác sĩ An cho biết tốt nhất là không hút thuốc lá, uống rượu và ăn trầu. Nên tiêm phòng vắc xin HPV hoặc vệ sinh răng miệng sạch sẽ.

