30 giờ vượt biển cứu bệnh nhân bị xương cá đâm thủng ruột
Bệnh viện Quân y 175 đã tiếp nhận nam bệnh nhân là ngư dân tàu cá được chuyển từ Trung tâm Y tế Trường Sa (huyện Trường Sa, tỉnh Khánh Hòa) về đất liền bằng tàu thủy trong tình trạng có dị vật ở vị trí tá tràng, gây biến chứng nguy hiểm.
Bệnh nhân H.M.T là ngư dân tàu cá ở tỉnh Quảng Ngãi, 55 tuổi, có tình trạng đau bụng âm ỉ trước khi được đưa đến cấp cứu tại Trung tâm Y tế Trường Sa. Bước đầu, bệnh nhân được các bác sĩ nhận định bị đau bụng bên phải, vùng hạ sườn phải có dấu hiệu nhiễm trùng, sốt.
Tại Trung tâm Y tế Trường Sa, thông qua hội chẩn Telemedicine với các bác sĩ tại Bệnh viện Quân y 175 kết hợp siêu âm bụng, bệnh nhân được chẩn đoán có dị vật ở tá tràng, rất có thể là tăm tre hoặc vật thể có kích thước tương tự xuyên thành tá tràng gây đau bụng, có thể dẫn đến các biến chứng nguy hiểm, được chỉ định phải mổ để lấy dị vật.
Tình trạng của bệnh nhân được đánh giá là ca phẫu thuật phức tạp khi tại Trung tâm Y tế Trường Sa không đủ trang thiết bị, nếu quyết định đưa về đất liền thì cần phải có những quyết định thận trọng để vừa đảm bảo an toàn cho bệnh nhân, vừa đảm bảo tính kịp thời để cứu sống bệnh nhân.
Sau quá trình hội ý, Bác sĩ Trịnh Văn Thảo - Chủ nhiệm Khoa Ngoại bụng, Bệnh viện Quân y 175 buộc phải đưa ra quyết định cuối cùng giữa việc làm phẫu thuật tại chỗ hay đưa bệnh nhân vào đất liền, cũng như việc đưa bệnh nhân di chuyển bằng đường thủy hay đường không.

Với tình hình nguy cấp hiện tại, nếu nhanh chóng đưa bệnh nhân về bằng trực thăng là phương án nhanh nhất nhưng sẽ phải tổ chức một chuyến bay cùng Tổ Cấp cứu đường không - Bệnh viện Quân y 175, việc ra đảo sẽ rất cần nhiều yếu tố để đảm bảo an toàn. Còn nếu đưa bệnh nhân về bằng đường thuỷ thì tàu thuỷ của đơn vị Quân chủng Hải quân đã sẵn sàng và chỉ cần một bác sĩ của Trung tâm Y tế Trường Sa đi cùng để theo dõi tình trạng bệnh nhân.
Tuy nhiên, việc di chuyển bằng tàu thuỷ sẽ mất khoảng 30 tiếng, cộng với 10 tiếng tiến hành theo dõi và chẩn đoán tại chỗ, thêm 12 tiếng đi từ Cảng Cam Ranh, tỉnh Khánh Hòa vào đến Bệnh viện Quân y 175, tổng cộng mất 52 tiếng.
Sau theo dõi và đánh giá lại một lần nữa để đưa ra quyết định cuối cùng nhằm kịp thời cứu sống bệnh nhân, Bác sĩ Trịnh Văn Thảo nhanh chóng quyết định cho bệnh nhân về đất liền bằng tàu thủy.
Trong quá trình di chuyển, bệnh nhân được theo dõi sát sao, thường xuyên kết nối với đội ngũ bác sĩ tại Bệnh viện Quân y 175 nhằm đảm bảo sự an toàn tối đa cho bệnh nhân.
Tiếp đó, bệnh nhân được đưa đến cảng Cam Ranh trong tình trạng ổn định, các bác sĩ càng chắc chắn hơn nữa vào quyết định hội chẩn của mình là hoàn toàn hợp lý.
Sau 12 tiếng di chuyển bằng đường bộ, vào ngày 9/9/2022, bệnh nhân được đưa thẳng vào Bệnh viện Quân y 175 để phẫu thuật và điều trị.
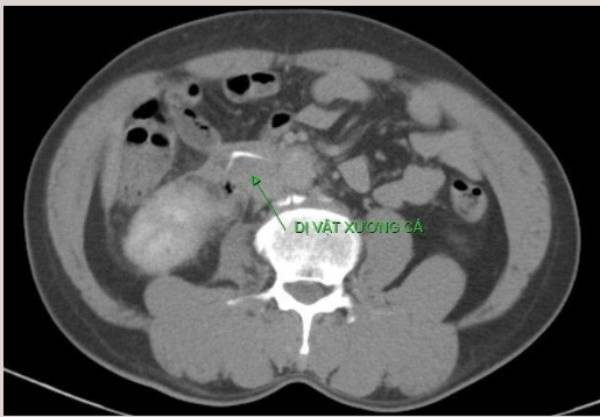
Tại Bệnh viện Quân y 175, bệnh nhân được các y, bác sĩ nhanh tiến hành phẫu thuật nội soi gắp dị vật là xương cá ở D2 tá tràng.
Ngay sau ca phẫu thuật , các triệu chứng gây đau, sốt cho bệnh nhân bắt đầu giảm xuống và sau 4 ngày được chăm sóc chu đáo, tận tình của đội ngũ y bác sĩ thuộc khoa Ngoại Bụng, bệnh nhân đã khoẻ mạnh, ăn uống bình thường và có thể trở về nhà tiếp tục sinh hoạt bình thường.
Bệnh nhân H.M.T vui mừng chia sẻ trong ngày xuất viện: “Tôi thật sự muốn gửi lời cảm ơn và cảm thấy may mắn khi được các y, bác sĩ tại Trung tâm Y tế Trường Sa và Bệnh viện Quân y 175 kịp thời cứu sống. Sau khi phẫu thuật đến nay, tôi đã được các y, bác sĩ tận tình chăm sóc và hỏi thăm mỗi ngày. Đến hôm nay, khi được xuất viện, tôi cảm thấy rất vui mừng”.
Bác sĩ Trịnh Văn Thảo cho biết: “Đây là ca phẫu thuật đòi hỏi những quyết định chuẩn xác và đầy thử thách cho tổ cấp cứu khi thời gian di chuyển của bệnh nhân khá dài. Tuy nhiên, tình trạng ổn định của bệnh nhân trong suốt quá trình đưa về đất liền cũng một lần nữa khẳng định, kết quả hội chẩn của chúng tôi là hoàn toàn chính xác, hợp lý, phương pháp nội soi dạ dày - tá tràng bằng ống mềm lấy dị vật, can thiệp tối thiểu, hiệu quả tối đa và giúp bệnh nhân sớm bình phục”.
Phương Thúy