Vì sao phần lớn răng khôn phải nhổ bỏ?
![]() |
Người ta thường gọi “răng khôn” mọc dại. |
Răng khôn là những chiếc răng mọc sau cùng, nó không xuất hiện với trẻ nhỏ khi mới mọc răng hoặc khi đã thay răng. Theo thống kê độ tuổi mọc răng khôn là từ 17 – 25 tuổi, tuy nhiên cũng có những trường hợp răng khôn xuất hiện muộn hơn độ tuổi này.
Răng khôn là gì?
Thực chất răng khôn là tên gọi dùng để chỉ răng cối lớn thứ ba. Chiếc răng này sẽ xuất hiện muộn nhất trong toàn bộ hàm răng, chỉ xuất hiện với người trưởng thành.
Đây cũng là thời điểm mà xương hàm ít phát triển về kích thước, chất lượng xương lại cứng hơn, niêm mạc và mô mềm phủ bên trên dày chắc, cùng với một số yếu tố toàn thân khác góp phần làm răng khôn dễ bị lệch và ngầm.
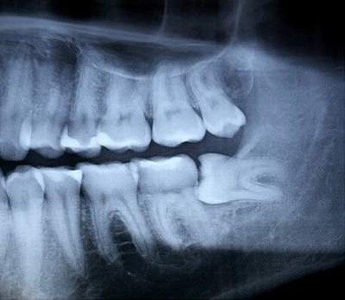
Hầu hết răng khôn đều phải nhổ
Theo kết quả điều tra và thống kê của Tổ Chức Chăm Sóc Răng Miệng Hoa Kỳ thì ước tính có khoảng 85% răng khôn sẽ bị nhổ đi thay vì để cho nó tồn tại đến hết quãng đời của bạn về sau.
Lý do răng khôn cần phải nhổ đi vì răng khôn thường mọc vào vị trí không thuận lợi, hoặc do xương hàm đã chật. Hơn thế nữa răng khôn nằm ở vị trí quá sâu bên trong hàm sẽ khó vệ sinh, là môi trường tiềm năng cho vi khuẩn sinh sôi và làm tăng nguy cơ sâu răng, viêm lợi…cũng như hàng tá những rắc rối khác đối với sức khỏe.
Đây cũng là nguyên nhân chính mà người ta thường có câu “răng khôn” mọc dại.
Trong một số trường hợp khi những bất thường của răng khôn không được chữa trị kịp thời, nhiễm trùng lây lan sang các khu vực xung quanh như mang tai, má, mắt, cổ ... gây nguy hiểm đến tính mạng.
Nhiều người không có răng khôn
![]() |
Không phải cứ khi trưởng thành bạn sẽ có răng khôn mà ước tính có khoảng 35% dân số sẽ không mọc răng khôn. Thường thì mỗi người thường có bốn răng khôn ở bốn góc hàm . Vậy câu hỏi đặt ra là với những người này răng khôn nằm ở đâu?
Thực chất lúc này răng khôn sẽ “ngoan ngoãn” nằm dưới xương hàm bình yên đến hết đời.
Nhổ răng khôn có lợi gì?
Nếu trong trường hợp bạn được nha sĩ yêu cầu nhổ răng khôn, bạn sẽ tránh được những mối đe dọa sức khỏe. Tuy nhiên bạn cần lưu ý đến những vấn đề sau:
Tình trạng sưng tấy: Là điều gần như là “hiển nhiên” với ai đã nhổ chiếc răng này, bạn phải chấp nhận điều này và theo thời gian những dấu hiệu này sẽ thuyên giảm. Bác sĩ sẽ kê cho bạn loại thuốc cần thiết và hướng dẫn bạn cách chườm lạnh bên ngoài để giảm sưng.
Dinh dưỡng: Nên ưu tiên những món ăn mềm, dễ nuốt vì với những món ăn cứng, dai sẽ gây cho bạn cảm giác đau đớn.
Chảy máu: Nếu bạn không bị chảy quá nhiều máu thì không đáng ngại vì sau khi nhổ răng bạn có thể bị rỉ máu trong những giờ đầu, càng về sau lượng máu càng ít.
Hãy thông báo với bác sĩ ngay nếu bạn thấy lượng máu chảy ra nhiều để được cấp cứu ngay.
Sau khi nhổ răng khôn bạn cũng cần chú ý đến vấn đề vệ sinh răng miệng theo hướng dẫn của bác sĩ để tránh nguy cơ nhiễm trùng hoặc biến chứng không mong muốn.

