Làm gì khi bị mòn chân răng
![]() |
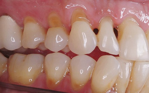
Răng bị bào mòn. (Ảnh minh họa) |
Theo TS-BS Phạm Thị Thu Hằng (Khoa Răng - Bệnh viện Trung ương Quân đội 108), mòn-tiêu cổ răng là hiện tượng mất tổ chức cứng của răng ở vị trí gần đường nối men ngà. Biểu hiện dễ nhận biết là cổ răng bị khuyết, lõm sâu có hình chữ V (còn gọi là lõm hình chêm), hay gặp nhất ở mặt ngoài cổ răng hàm nhỏ ở hàm trên, ngoài ra còn thấy ở răng cửa và răng hàm lớn.
Đôi khi người bệnh được phát hiện khi răng xuất hiện hiện tượng nhạy cảm với nhiệt độ hoặc thức ăn ngọt, chua.
Những tổn thương này gia tăng theo tuổi và gặp từ lứa tuổi thanh niên cho tới người cao tuổi. Đặc biệt với lối sống tiêu thụ nhiều đồ uống có tính axit ở người trẻ tuổi và thuốc điều trị bệnh mãn tính ở người nhiều tuổi sẽ làm tăng độ axit trong khoang miệng dẫn đến tổ chức cứng của răng dễ bị bào mòn, tiêu cổ răng càng nặng.
Các nguyên nhân chủ yếu gây mòn-tiêu cổ răng theo bác sĩ Hằng có ba nguyên nhân chính:
Thứ nhất do ăn mòn của axit: Bình thường nước bọt trong môi trường miệng có pH = 7,0 trung tính. pH môi trường miệng có thể thay đổi do trào ngược dạ dày thực quản, dịch dạ dày có pH = 1,0-2,0. Có thể do người bệnh sử dụng thức uống có tính axit như trái cây, coca cola, nước tăng lực, rượu vang…(Coca cola có axit photphoric, nước tăng lực có axit citric). Các nước này có pH = 2,5-3,4.
Ngược lại, khi sử dụng ma túy qua đường miệng, pH trong miệng < 4,5. Lúc này sẽ xảy ra hiện tượng khử khoáng ở men và ngà răng.
Nguyên nhân thứ hai là ăn mòn do lực ma sát tác động, có thể do dùng bàn chải có lông cứng kết hợp với kem đánh răng có chất tẩy, chải răng quá mạnh với động tác đánh ngang gây chà sát làm tổn thương vùng cổ răng.
Nguyên nhân thứ ba do rối loạn cắn: Lực nhai quá mức, truyền đến vùng cổ răng như một lực uốn làm phá vỡ cấu trúc men răng, gây nứt vi cấu trúc. Dần dần tổn thương lớn hơn tạo lõm hình chêm vùng cổ răng. Thường gặp ở bệnh nhân có tật nghiến răng và mất răng, gây rối loạn cắn, khớp cắn sang chấn.
Các biện pháp ngăn ngừa mòn-tiêu cổ răng được bác sĩ Hằng đưa ra là:
Khám răng định kỳ 6 tháng một lần. Việc chẩn đoán sớm rất quan trọng để thay đổi những thói quen không tốt, có biện pháp phòng ngừa giúp bệnh nhân tránh phải can thiệp phục hồi có xâm lấn.
Giảm pH axit trong miệng từ bên ngoài: giảm các đồ ăn thức uống có tính axit. Giảm pH axit do trào ngược dạ dày bằng thuốc chống trào ngược, giảm axit dịch vị.
Đánh răng bằng bàn chải mềm với kem đánh răng chứa fluor, tăng độ khoáng hóa men răng với các biện pháp bổ sung fluor trong nước uống, muối ăn...
Bác sĩ Hằng khuyến cáo khi thấy xuất hiện một vết khuyết trên cổ răng, cần đến khám nha sĩ. Cũng có thể bệnh nhân thấy khó chịu với cảm giác ê buốt cổ răng. Vấn đề được phát hiện sớm, tổn thương sẽ được ngăn chặn. Điều trị mòn tiêu cổ răng tùy thuộc vào tình trạng tổn thương mô răng.
Nếu cổ răng tiêu ít nhưng có quá cảm ngà, nha sỹ bôi vecni vào vùng cổ răng để tránh sự tiếp xúc với môi trường axit và giảm ê buốt.
Nếu cổ răng tiêu đến mức cần hàn-trám, nha sĩ sẽ thay thế phần men răng tiêu lõm bằng một vật liệu trám có màu giống với răng. Có hai loại vật liệu được dùng là nhựa Composite và GIC (Glass Ionomer Cement). Đối với những răng mòn sâu ảnh hưởng đến tủy răng, có thể cần đến điều trị tủy hoặc nhổ bỏ.
