Chảy máu chân răng: Dấu hiệu cảnh báo bệnh ung thư
![]() |
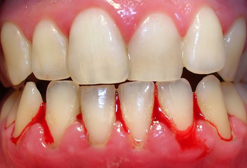
Chảy máu chân răng báo bệnh nguy hiểm về máu |
Bệnh nhân Nguyễn Phạm Kh. 2 tuổi, trú tại Thanh Hoá đang điều trị ung thư máu. Bố của bé Kh. tâm sự, con trai anh từ lúc sinh ra đã khoẻ mạnh, ít ốm đau. Đến tháng 3 vừa qua cháu có triệu chứng chảy máu chân răng. Cháu không đánh răng hay chỉ cần va chạm vào cái gì cũng chảy máu.
Vợ chồng anh cho con đi khám ở bác sĩ nhi khoa gần nhà, bác sĩ cho biết cháu bị viêm nha chu và cho thuốc kháng sinh về uống. Tuy nhiên, tình trạng chảy máu chân răng không giảm.
Thậm chí, bé cầm cái hộp thuốc nhỏ cho vào miệng cũng chảy máu không cầm được. Anh chị cho con đi khám tại Bệnh viện Hợp Lực, Thanh Hoá, bác sĩ nghi ngờ bệnh về máu nên giới thiệu Kh. ra ngoài Bệnh viện K trung ương khám. Kết quả, cháu bị ung thư máu.: “Vợ chồng tôi đều không tin vào tai mình vì cháu chưa có biểu hiện gì, chỉ là chảy máu chân răng, ai ngờ đó lại là ung thư”.
Mới đây, một giáo viên dạy tiếng Anh tại Sơn La đã được đưa đến Viện Huyết học – Truyền máu Trung ương trong tình trạng chảy máu chân răng không cầm được.
Bệnh nhân Eldniz (1992), quốc tịch Azecbaijan, được đưa đến Viện trong tình trạng suy nhược cơ thể trầm trọng vì mất máu do chảy máu chân. Tại Bệnh viện đa khoa tỉnh Sơn La, bệnh nhân được chẩn đoán ban đầu nghi ngờ bệnh Lơ xê mi cấp.
Ngay sau các xét nghiệm chuyên sâu, bệnh nhân Eldniz được chẩn đoán bị bệnh Lơ xê mi cấp thể tiền tủy bào (bệnh ung thư máu cấp tính thể tủy) có kèm theo tình trạng "Rối loạn đông máu rải rác trong lòng mạch", đây là bệnh lý nặng nề có thể nguy hiểm tới tính mạng của người bệnh.
Thạc sĩ Vũ Quang Hưng – Phó trưởng Khoa Điều trị hóa chất, Viện Huyết học – Truyền máu trung ương cho biết, chỉ sau 7 ngày điều trị, bệnh nhân Eldniz đã truyền 41 đơn vị máu nhóm máu B, đây là một trong những trường hợp bệnh nghiêm trọng khi chỉ trong một thời gian ngắn đã phải truyền máu.
Theo thạc sĩ Vũ Quang Hưng, các tế bào ung thư máu phát triển trong máu và tủy xương cao, dẫn đến giảm tiểu cầu và hồng cầu, xuất huyết trong, gây mệt mỏi. Đồng thời, bệnh nhân có khả năng bị nhiễm khuẩn và nấm vì tế bào bạch cầu bị suy giảm nghiêm trọng.
Chính vì vậy, bệnh nhân vừa phải truyền máu vừa phải điều trị kháng sinh, thuốc nhắm đích và truyền chế phẩm máu. So với tình trạng ban đầu nhập viện, đến thời điểm hiện tại Eldniz đã qua cơn nguy kịch, tuy nhiên vẫn phải tiếp tục điều trị và thở bằng máy.
Tại Viện Huyết học và truyền máu Trung ương, các bác sĩ từng tiếp nhận trường hợp một nam bệnh nhân (36 tuổi, ở Hòa Bình), ban đầu bệnh nhân xuất hiện một số vết bầm tím trên da, thậm chí mỗi khi đánh răng lại chảy máu chân răng, nhưng không đi bệnh viện khám và điều trị. Khi đến bệnh viện đã quá muộn dù đã được các bác sĩ nỗ lực cứu chữa, nhưng do bệnh quá nặng, xuất huyết não nên đã không qua khỏi do xuất huyết giảm tiểu cầu.
Chính vì thế, các bác sĩ khuyến cáo không nên chủ quan với các dấu hiệu chảy máu chân răng vì nó cảnh báo bệnh nguy hiểm, bệnh lý về máu.
Không chỉ là dấu hiệu cảnh báo nguy cơ mắc ung thư máu, mới đây các nhà khoa học Thụy Điển đã công bố rộng rãi thông tin cho biết chảy máu chân răng cũng có thể là dấu hiệu mắc ung thư vú ở phụ nữ.
Một nhóm các nhà khoa học đến từ Viện Karolinska ở Stockholm đã tiến hành 1 nghiên cứu và cho thấy rằng đối với những người thường xuyên xuất huyết chân răng nguy cơ mắc bệnh ung thư vú cao hơn 11 lần so với những người không có dấu hiệu này.
Kết quả nghiên cứu này từ khi công bố đã gây ra nhiều tranh cãi và nhiều luồng ý kiến trái chiều. Để có thể tìm ra mối liên hệ giữa nguy cơ mắc ung thư với hiện tượng chân răng chảy máu còn cần nhiều nghiên cứu cụ thể.
