Căn bệnh khiến mỗi người Việt Nam mất hơn 6 chiếc răng
![]() |
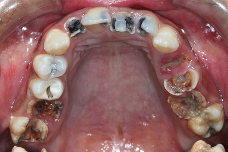
85% trẻ từ 6-8 tuổi bị sâu răng |
Ngoài 40 tuổi đã mất hơn 6 cái răng
Đây là thông tin được TS Trần Cao Bính – Viện Răng hàm mặt TW thông báo tại Hội thảo khoa học “Tăng cường chăm sóc sức khỏe răng miệng cho thanh niên Việt Nam”. Hội thảo do Hội Răng hàm mặt Việt Nam phối hợp với Lotte Việt Nam tổ chức sáng 5/6.
Theo TS TS Trần Cao Bính, cùng với xu thế kinh tế phát triển, tỷ lệ viêm lợi, viêm quanh răng và sâu răng không giảm. Hiện nay, trên 90% dân số Việt Nam có bệnh vùng quanh răng, trên 50% dân số bị sâu răng.
Mặc dù Việt Nam đã có chương trình phòng bệnh như chương trình nha khoa học đường, chương trình nha khoa cộng đồng nhưng tỉ lệ sâu răng lứa tuổi học đường vẫn chiếm tỷ lệ khá cao.
Theo kết quả điều tra răng miệng gần đây cho thấy, toàn quốc có trên 60% người bị sâu răng. Trung bình 18 tuổi đã có khoảng 2,84 người bị sâu răng; 45 tuổi đã sâu 8,93 răng. Đặc biệt tỷ lệ mất răng do sâu cũng đáng báo động.
Cụ thể 18 tuổi trung bình đã bị mất 1 cái răng, 45 tuổi đã mất 6,64 cái răng. Đặc biệt, có khoảng 85% trẻ em từ 6-8 tuổi bị sâu răng, mỗi trẻ trung bình có tới 6 răng sâu và phần lớn bệnh nhân mắc bệnh không được điều trị kịp thời. Nếu không được điều trị sẽ ảnh hưởng đến sức khỏe, thẩm mỹ.
Nguyên nhân của tình trạng này được các chuyên gia chỉ ra rằng là do đa số người dân Việt Nam chỉ tìm đến bác sĩ nha khoa khi thấy răng có vấn đề (sưng tấy, đau nhức hoặc sưng lợi nặng…). Người dân gần như chưa có ý thức đi khám răng miệng theo định kỳ vì thế tỷ lệ mắc bệnh răng miệng cao, đặc biệt là sâu răng.
Trong khi đó chế độ ăn và cách thức vệ sinh răng miệng của chúng ta cũng chưa hợp lý. Người dân Việt Nam vẫn có thói quen ăn nhiều đồ ngọt, hay ăn vặt lại hay “quên” không đánh răng sau ăn… là hai nguyên nhân trực tiếp ảnh hưởng đến tình trạng sức khỏe răng miệng của mọi người.
Ngoài ra, stress cũng là nguyên nhân ảnh hưởng tiêu cực đến sức khỏe răng miệng. Hầu hết các bệnh về răng miệng ở những giai đoạn đầu thường tiến triển âm thầm và không đau nên rất khó phát hiện. Đến khi sâu, viêm nặng, vết sâu sẽ lan đến tủy răng, nơi có chứa nhiều dây thần kinh và mạch máu, nó có thể sẽ gây ra những cơn đau nhức triền miên đi khám thì đã quá muộn.
Làm gì để hạn chế sâu răng?
Các chuyên gia cũng khuyến cáo người dân cần có thói quen đi khám răng định kỳ 6 tháng 1 lần để kiểm tra có bị sâu răng không và chữa kịp thời tránh vi khuẩn xâm nhập được vào tủy răng.
Thông thường răng bị sâu sẽ ê buốt khi có kích thích nóng lạnh, thức ăn chua ngọt, khi lỗ sâu tiến sát tủy răng thì tủy răng sẽ bị viêm bởi sự xâm nhập của vi khuẩn vào buồng tủy răng từ đáy lỗ sâu, bệnh nhân bị đau tủy răng từng cơn, đau ban đêm nhiều hơn ban ngày, nằm đau nhiều hơn khi ngồi hoặc đứng. Nếu đợi đến khi có những biểu hiện này mới đến gặp nha sĩ thì bản thân người bệnh sẽ không còn cơ hội bảo toàn nguyên vẹn răng của mình. Điều này cần được lưu ý đối với trẻ em.
TS Bính cho rằng, với trẻ bị sâu răng nếu không được điều trị kịp thời sẽ ảnh hưởng đến sức khỏe răng miệng lâu dài của trẻ cho đến tuổi trưởng thành. Do vậy, quan trọng nhất trong phòng bệnh là phổ biến các kiến thức vệ sinh răng miệng cho các em học sinh ngay từ lứa tuổi mẫu giáo, tiểu học cơ sở, nhằm tạo thói quen tốt và giúp các em có ý thức chăm sóc răng miệng.
Theo đó, để phòng bệnh, các chuyên gia nha khoa khuyến cáo mọi người cần phải chải răng sau mỗi bữa ăn hoặc ít nhất 1 lần trong ngày sau bữa tối, tránh ăn vặt nhất là ăn vặt đồ ngọt.
Việc đánh răng cũng phải đúng cách để làm sạch hoàn toàn các răng. Theo đó chúng ta nên dùng lông bàn chải nghiêng trên mặt ngoài (hoặc mặt trong) một góc 45 độ, sau đó chải hất về phía mặt nhai hoặc rìa cắn hoặc chải xoay tròn quanh chân răng, chải từng nhóm răng tới khi sạch. Đối với mặt nhai thì đơn giản hơn, chỉ cần đặt lông bàn chải vuông góc với mặt răng và kéo qua kéo lại.
