Bệnh nhân Thái Lan sang Việt Nam chữa u não thành công
Theo thông tin từ Trung tâm (TT) Y học hạt nhân và Ung bướu, Bệnh viện Bạch Mai, bệnh nhân P.M. (74 tuổi, quốc tịch Thái Lan, sống tại Chiềng Mai, Thái Lan) có tiền sử mổ u dây thần kinh số VIII bên trái tại một Bệnh viện của Thái Lan. Nhưng sau mổ, khối u không giảm mà tái phát tại chỗ, kích thước 34x17mm, đã chèn ép bịt kín ống tai trong trái, gây điếc hoàn toàn tai trái. Không chỉ có vậy, căn bệnh này còn xâm lấn dây thần kinh số VII bên trái, gây liệt mặt trái.
![]() |
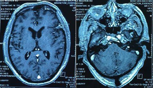
Hình ảnh chụp cộng hưởng từ sọ não cho thấy không còn tổn thương trong não. |
Vào ngày 17/11/2015, bệnh nhân này đến Trung tâm (TT) Y học hạt nhân và Ung bướu, Bệnh viện Bạch Mai điều trị. Đến ngày 18/11, bệnh nhân P.M đã được xạ phẫu bằng dao Gamma quay.
GS.TS Mai Trọng Khoa - Giám đốc TT Y học hạt nhân và Ung bướu, Phó Giám đốc Bệnh viện Bạch Mai, người trực tiếp điều trị cho bệnh nhân P.M. cho biết: “Sau xạ phẫu, bệnh nhân không nôn, không đau đầu, các dấu hiệu sinh tồn ổn định, mọi sinh hoạt trở lại bình thường. Sau 2 ngày xạ phẫu, đến ngày 20/11, bệnh nhân P.M. đã được ra viện”.
Khi ra viện ông P.M. tâm sự: “Các bạn ở đây thật giỏi về chuyên môn, nhiệt tình, chu đáo. Biện pháp điều trị tốt, tôi hoàn toàn cảm thấy bình thường, không đau đớn gì. Tôi sẽ quay trở lại Bệnh viện Bạch Mai khám lại định kỳ theo hẹn của các giáo sư, bác sĩ.
Tôi được tư vấn sang một số nước phát triển hoặc Singapore điều trị, nhưng qua tìm hiểu và đặc biệt là tư vấn của một số giáo sư hàng đầu của Thái Lan về bệnh của tôi, họ khuyên tôi nên sang Trung tâm Y học hạt nhân và ung bướu, Bệnh viện Bạch Mai của các bạn để điều trị.
Hôm nay, tôi cảm thấy rất vui và may mắn là các bạn đã hoàn thành xạ phẫu khối u trong não của tôi một cách an toàn, tôi đã trở lại sinh hoạt một cách bình thường chỉ sau một ngày xạ phẫu bằng công nghệ của các bạn. Tôi thực sự ngưỡng mộ trình độ chuyên môn và tay nghề của các bác sĩ ở đây”.
![]() |
Trung tâm (TT) Y học hạt nhân và Ung bướu, Bệnh viện Bạch Mai đã được xạ phẫu bằng dao Gamma quay. |
Nói về phương pháp xạ phẫu bằng dao gamma, GS Mai Trọng Khoa phân tích: “Kỹ thuật này rất thích hợp cho những trường hợp u não hoặc một số bệnh lý sọ não tái phát sau điều trị, khối u ở những vị trí đặc biệt như thân não... rất khó hoặc không thể phẫu thuật được, hoặc bệnh nhân nhỏ tuổi, lớn tuổi... Vì đây là phương pháp điều trị an toàn, hiệu quả, thời gian nằm viện ngắn, nâng cao chất lượng sống cho bệnh nhân u não và một số bệnh lý sọ não”.
Theo GS Mai Trọng Khoa, cho đến lúc này, Trung tâm đã điều trị cho 3425 bệnh nhân u não và một số bệnh lý sọ não bằng dao gamma quay. Kết quả sau xạ phẫu cải thiện triệu chứng lâm sàng 100%; kích thước khối u giảm dần theo thời gian. Đây là kỹ thuật đều trị an toàn, hiệu quả, đặc biệt cho các bệnh nhân tái phát sau phẫu thuật, không phẫu thuật được, trẻ em và người có tuổi.

