Uống nhầm dầu hỏa, một bé trai 17 tháng tuổi nguy kịch
Cháu Trương Công B.Đ (17 tháng tuổi, ở phường Kỳ Trinh, thị xã Kỳ Anh) sau khi uống nhầm dầu hỏa được gia đình đưa ngay vào bệnh viện điều trị.
Theo lời kể của mẹ cháu, trẻ ở nhà chơi, thấy có chai nước để trong gầm giường đã lôi ra uống, sau uống cháu xuất hiện ho sặc sụa, sau đó xuất hiện khó thở, ngay lập tức gia đình đưa vào Bệnh viện Thị xã Kỳ Anh điều trị. Tại đây, tình trạng khó thở của cháu ngày càng nặng hơn nên bệnh viện đã chuyển bệnh nhi ra bệnh viện Đa khoa tỉnh điều trị tiếp.
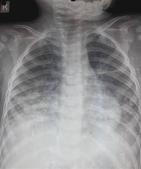
![]() |
Hình ảnh Xquang của bé Đ. phổi bị viêm nặng |
Tại Bệnh viện Đa khoa tỉnh, qua thăm khám, chụp Xquang phổi, xét nghiệm máu, cháu được chẩn đoán viêm phổi nặng do hít dầu hỏa. Ngay sau đó, cháu được xử trí thở ô xi, kháng sinh, chống viêm.
Sau đó bệnh viện đã hội chẩn qua điện thoại cùng bác sỹ trực khoa cấp cứu của Bệnh viện Nhi Trung ương, thống nhất chẩn đoán như trên, đồng thời chuyển bệnh nhi lên tuyến trên điều trị tiếp.
