Tưởng mọc răng khôn hóa khối u trong miệng
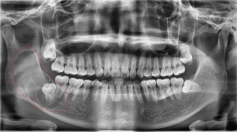
Bác sĩ Nguyễn Thanh Thái, Trưởng khoa Phẫu thuật tạo hình hàm mặt, cho biết kết quả chụp X-quang cho thấy bệnh nhân bị nang răng sừng hóa (còn gọi nang răng sinh sừng). Nang rất lớn, phát triển từ răng số 7 lan lên tới tận xương hàm trên.
Ngày 4/6, bác sĩ Thái phẫu thuật cắt bỏ toàn bộ khối nang kích thước hơn 5 cm. Hiện tại, sức khỏe bệnh nhân đã ổn định.
![]() |
Khối u nang 5 cm trong khoang miệng bệnh nhân. Ảnh: Bệnh viện cung cấp. |
Theo bác sĩ Thái, nang răng sừng hóa thường hình thành do nhiễm khuẩn, hay gặp ở độ tuổi 30. Ở giai đoạn sớm, bệnh nhân không có triệu chứng nào, đến khi nang to sẽ bội nhiễm gây đau đớn và dễ nhầm lẫn với mọc răng khôn.
Nhiều trường hợp đến viện muộn, nang đã phát triển rộng khiến cho răng, xương bị phá hủy gây biến dạng khuôn mặt. Một số ít bệnh nhân phát hiện sớm do tình cờ đi kiểm tra, chụp X-quang răng miệng.
Bác sĩ Thái cho biết tỷ lệ tái phát nang răng sừng hóa rất cao, lên tới 60%. Vì vậy, bệnh nhân thường phải phẫu thuật nhiều lần do bệnh tái phát sau khi nạo vét các tổ chức u. Bác sĩ chỉ lấy được chân nang chứ không thể tiêu diệt mầm bệnh tận gốc.
Những năm gần đây, một số nước phát triển như Anh, Mỹ, Canada đã ứng dụng một loại thuốc có tác dụng tiêu diệt tận gốc nang sừng hóa.
Để điều trị, bác sĩ phẫu thuật vét nang răng sau đó đặt thuốc để phá toàn bộ xương nang răng. Năm bệnh nhân được điều trị bằng phương pháp này tại Bệnh viện Việt Nam - Cu Ba, không bị tái phát.
Hiện, Bệnh viện Việt Nam - Cu Ba là cơ sở y tế đầu tiên tại Việt Nam ứng dụng phương thức điều trị này cho bệnh nhân bị nang răng sừng hóa.
Để phát hiện sớm các bất thường răng miệng, bác sĩ khuyến cáo người dân cần kiểm tra răng miệng định kỳ 6 tháng một lần.
