Quảng Bình: Cứu sống bệnh nhân vỡ u gan, hơn 2 lít máu tràn ổ bụng
![]() |
Bệnh nhân Đinh Minh T. bị ngã, khiến u gan bị vỡ. |
Chiều 14/3, Bệnh viện Hữu nghị Việt Nam – Cu Ba Đồng Hới vừa tiến hành cấp cứu thành công cho anh Đinh Minh T. (trú tại huyện Minh Hóa, tỉnh Quảng Bình) nhập viện do bị vỡ u gan, máu tràn đầu ổ bụng.
Trước đó, vào ngày 13/3, anh T. được đưa vào Bệnh viện Hữu nghị Việt Nam - Cu Ba Đồng Hới cấp cứu trong tình trạng sốc mất máu. Tại đây, bệnh nhân được các nhân viên y tế vừa tiến hành hồi sức tích cực vừa tiến hành xét nghiệm, chụp phim...
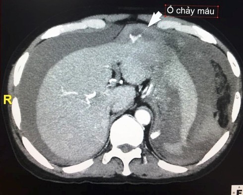
Qua thăm khám, các bác sĩ phát hiện anh T. bị vỡ u gan hạ phân thùy III và có hơn 2 lít máu trong ổ bụng. Các bác sĩ vừa tiến hành truyền máu và các chế phẩm thay thế máu vừa điều trị bằng phương pháp nút mạch. Sau đó, tiến hành chọc dẫn lưu ổ bụng rút ra 2 lít máu.
![]() |
Khối u gan bị vỡ, khiến hơn 2 lít máu tràn ra ổ bụng. |
Theo người nhà anh T. cho biết, từ trước tới nay anh T. không hề biết mình bị bệnh gì, đến khi bị ngã, đau bụng dữ dội phải nhập viện thì mới biết bị u gan và khối u đã bị vỡ.
Bác sĩ Nguyễn Đức Hùng - Trưởng khoa Chẩn đoán hình ảnh, Bệnh viện Việt Nam - Cu Ba, Đồng Hới cho biết, đây là trường hợp vỡ u gan do chấn thương mà trước đó bệnh nhân không biết mình bị bệnh. Qua kết quả xét nghiệm cho thấy bệnh nhân bị u gan trên nền xơ gan.
Hiện tại, bệnh nhân T. đã tỉnh táo, nói chuyện bình thường, đang được theo dõi, điều trị tích cực tại bệnh viện.

