Phẫu thuật lấy khối u to bằng trái tim trong lồng ngực
![]() |
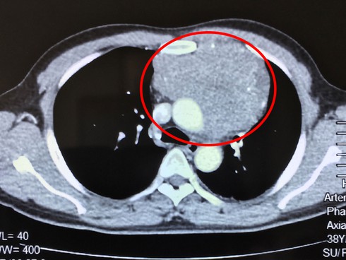
Hình ảnh khối u qua phim chụp |
Anh N.V.Q. (38 tuổi – ngụ tại huyện Củ Chi) đến khám vì ho dai dẳng, tức ngực liên tục. Anh đã mua thuốc bên ngoài uống trong thời gian dài mà không thuyên giảm.
Sau khi thăm khám kỹ lưỡng, thực hiện chụp CT Scan cùng các thăm dò cận lâm sàng cần thiết khác, các bác sĩ xác định có 1 khối u xuất phát từ trung thất trước (u ở phần lồng ngực giữa hai lá phổi), xâm lấn rộng vào màng ngoài tim, tĩnh mạch vô danh, thần kinh hoành bên trái, động mạch phổi và lan ra sau dính vào động mạch chủ ngực xuống.
Do khối u quá lớn, xâm lấn tim nên phải phẫu thuật gấp, ngày 16/6 ca mổ được tiến hành. Các bác sĩ đã tiến hành bóc tách khối u khỏi thần kinh hoành và các mạch máu quan trọng. Sau 2 giờ phẫu thuật, khối u rất lớn, khoảng 13x15x18cm (kích thước bằng quả tim của bệnh nhân) được lấy ra hoàn toàn.
Vì khối u xâm lấn thần kinh hoành trái lâu ngày, mặc dù thần kinh hoành trái được giải phóng nguyên vẹn ra khỏi khối u, nhưng qua đánh giá trong mổ, cơ hoành trái của bệnh nhân bị nhão và nhô rất cao hơn bình thường, các bác sĩ quyết định tạo hình làm căng cơ hoành nhằm tránh biến chứng suy hô hấp. Bệnh nhân được rút nội khí quản sau mổ 3 giờ. Tình trạng bệnh nhân hoàn toàn ổn định.
Các bác sĩ cho biết, khối u tại vị trí trung thất (bên trong lồng ngực) của bệnh nhân thường gây nên các triệu chứng chèn ép các cơ quan bên trong trung thất (như mạch máu, thần kinh), hay xâm lấn thành ngực và gây nên nhiều triệu chứng như đau ngực, ho khan, yếu cơ (nhược cơ), phù nửa trên người (phù áo khoác), khàn giọng, loạn nhịp tim, khó thở, đau ngực...
Các khối u trong trung thất thường có tỷ lệ ác tính cao và phần lớn cần phải điều trị phẫu thuật, vì vậy người bệnh cần đi khám sớm khi có các triệu chứng như trên.
