Người đàn ông 56 tuổi bị cưa cắt gần đứt chân
![]() |
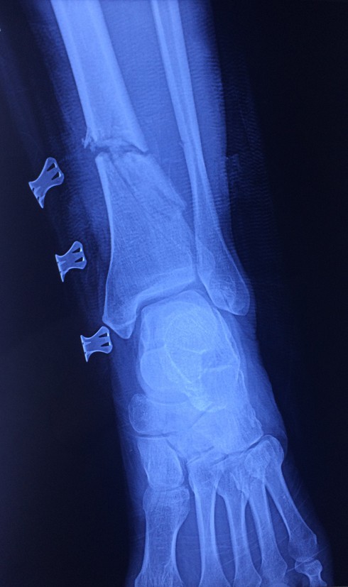
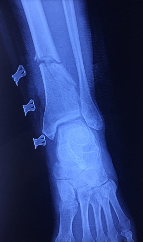
Hình ảnh trên phim xquang của bệnh nhân. |
Ngày 31/12/2019, Bệnh viện Hữu nghị Việt Đức tiếp nhận trường hợp người bệnh B.V.L (56 tuổi, Hòa Bình) nhập viện trong tình trạng vết thương hở đứt 3/4 chu vi cẳng chân trái, chảy nhiều máu; mất vận động cổ chân và các ngón chân, gãy hở xương chày, đứt hoàn toàn các gân cơ khu trước và sau cẳng chân, đứt bó mạch chày sau, chày trước.
Được biết, trước đó khi ông L đang cắt cỏ, lưỡi cưa không may vấp vào viên đá, vỡ và cắt vào chân do máy cắt cỏ của ông L đã bị tháo tấm sắt chắn lưỡi cưa. Ông L đã được sơ cứu băng ép tại bệnh viện huyện, sau đó chuyển Bệnh viện Hữu nghị Việt Đức vào 10 giờ ngày 31/12/2019.
BS Hoàng Minh Thắng - Khoa Phẫu thuật Chi trên và Y học thể thao cho biết: Người bệnh đã được cố định ngoài xương chày, nối gân, thần kinh, nối động mạch chày trước, chày sau.
Hiện tại sau mổ, tình trạng người bệnh đã ổn định, đầu chi hồng ấm, mạch chày trước, chày sau rõ và đang được hướng dẫn tập phục hồi chức năng.
Bác sĩ Hoàng Minh Thắng khuyến cáo: Người dân cần có ý thức đảm bảo an toàn lao động, kiểm tra dụng cụ kĩ càng trước khi sử dụng nhằm tránh những tai nạn đáng tiếc.
Bệnh viện Hữu nghị Việt Đức thường xuyên tiếp nhận các trường hợp người bệnh nhập viện chấn thương do tai nạn lao động như: bị tấm kính cắt vào tay, cho tay vào máy cưa,...
