Hy hữu: Tràn khí màng phổi sau khi thi hát karaoke
![]() |
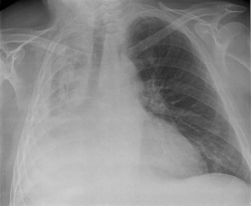
Hình chụp X-quang của một người bị sụp phổi. Ảnh: SCMP |
Một người đàn ông 65 tuổi đến từ miền đông Trung Quốc cần phải nhập viện vì sập phổi (tràn màn khí phổi) sau một buổi hát karaoke dài bất thường, báo South China Morning Post đưa tin.
Người đàn ông họ Wang, 65 tuổi, đến từ quận Nam Xương thuộc tỉnh Giang Tây, Trung Quốc được biết là người rất thích hát karaoke. Một hôm, ông nhận ra có gì đó không ổn khi ông bị khó thở và đau nhói ở bên trái lưng, sau một lần hát karaoke với những giai điệu cao liên tục.
Ông Wang nói với Nanchang News rằng ông đã cảm thấy những triệu chứng ban đầu nhưng không để ý, cho đến khi ông tham gia cuộc thi marathon karaoke.
Ông Wang nói rằng mình không thể hát cao được và điều này thật bất thường vì lúc nào ông cũng có thể lên được nốt cao mà không gặp trục trặc gì. Tuy nhiên, lần này ông đã hết hơi và cảm thấy đau ở phổi trái.
Sau khi đến bệnh viện, bác sĩ Peng Bin-fei tại bệnh viện Nanchang nói rằng ông Wang đã bị sụp phổi, hày còn được gọi là tràn khí màng phổi, và cho biết chính những bài hát cao đã gây nên tình trạng trên.
"Bệnh nhân bị sụp phổi vì áp lực phổi cao do hát những nốt cao. Không nên hát những bài hát cao trong một thời gian dài hơn hai tiếng" - bác sĩ Bin-fei nói.
Tràn khí màng phổi là khi có một lượng không khí bất thường trong khoang màng phổi giữa phổi và thành ngực. Các triệu chứng thường bao gồm đột ngột đau nhói, đau một bên ngực và khó thở. Trong một số ít trường hợp, lượng không khí trong ngực tăng lên khi van một chiều được hình thành bởi một vùng mô bị tổn thương, dẫn đến tràn khí màng phổi căng.
Tình trạng này có thể gây ra tình trạng thiếu oxy trầm trọng và huyết áp thấp. Trừ khi đảo ngược bằng cách điều trị hiệu quả, nó có thể dẫn đến tử vong. Rất hiếm khi cả hai phổi có thể bị ảnh hưởng bởi tràn khí màng phổi.
