Bệnh vì một lọ thuốc nhỏ mắt, bác sĩ Mỹ cũng lắc đầu
![]() |
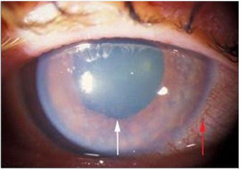
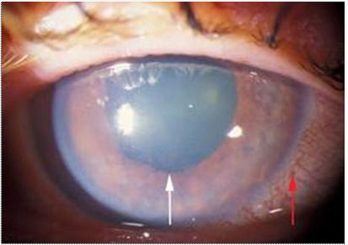
Ảnh minh họa. Nguồn Internet |
Trước đó, bệnh nhi được chuyển đến bệnh viện trong tình trạng bệnh glôcôm rất nặng, chỉ còn nhìn được bóng bàn tay của mình. Gia đình cho biết, thời gian trước đó bé bị viêm kết mạc dị ứng. Gia đình đưa đi khám và bác sĩ kê đơn thuốc cho bé. Những lần sau đó, hễ thấy mắt bé đau, gia đình lại mua thuốc theo đơn cũ rồi cho bé sử dụng mà không biết thuốc có chứa steroid. “Nếu thấy bé ngứa mắt quá thì nhỏ ngày 3 lần, còn bình thường thì nhỏ 1 lần/ngày”, người nhà bé cho biết.
Tại Bệnh viện Mắt trung ương, dù đã được điều trị tích cực, thậm chí thay thủy tinh thể 2 mắt nhưng khả năng nhìn của bé chỉ còn 1/10.
Theo các bác sĩ, đây không phải là trường hợp bệnh nhân hiếm bị hỏng mắt do tự ý nhỏ thuốc đau mắt khi chưa có chỉ định của bác sĩ hoặc sử dụng lại đơn thuốc cũ do lần khám trước đã khám.
Bác sĩ Cương chia sẻ, có những lọ thuốc làm thay đổi cả cuộc đời. Ví dụ như trước đó, bệnh viện cũng tiếp nhận một bệnh nhân Nguyễn Ánh D., 16 tuổi, em bị viêm kết mạc dị ứng. Bố luôn công tác xa nhà, mẹ là mẹ kế nên hai chị em cứ ra ngoài mua thuốc tự điều trị. Tobradex quả là thần kỳ, nhỏ thì hết ngứa ngay, mắt trắng hẳn ra. Cứ như vậy khoảng 2 tháng (chừng 3 lọ) thì mắt thấy không đỡ như trước. Mắt đỏ ngầu, giác mạc đục như cùi nhãn, căng tức như bị vật gì đó bóp nghẹn. Mắt mờ nhanh trông thấy. Cả nhà rất lo lắng vì em mới 16 tuổi, chuẩn bị thi tốt nghiệp cấp III.
Đích thân bố em đưa sang Singapore. Các bác sĩ lắc đầu ngán ngẩm. Tuy thời gian bị bệnh không dài nhưng đã là glôcôm giai đoạn gần mù. Phẫu thuật cũng không thể đưa mắt về như ngày xưa. Tại Bệnh viện mắt trung ương, các bác sĩ đã quyết định nhanh chóng phẫu thuật, đặt valve điều chỉnh nhãn áp cho em để con mắt khỏi tồi tệ hơn. Lúc này thuốc hạ nhãn áp các loại đều không tác dụng, giác mạc và thể thủy tinh đều phù đục. May mắn là nhãn áp đã được khống chế, mắt hết đau nhức, trong trẻo như trước. Đáng buồn là thị lực chỉ còn đếm ngón tay. Nhờ thầy cô và nhà trường giúp đỡ em có một bài thi, hội đồng thi riêng dành cho trò” mắt kém”. D. tốt nghiệp phổ thông nhưng con đường vào đại học đã đóng lại.
Sau mổ, thị lực cũng không đảm bảo hoàn toàn, bác sĩ Cương cho biết có lúc nhãn áp lại vọt lên do sẹo xơ của người trẻ bít vào valve, lúc lại viêm giác mạc do virus.
"Thuốc ở trong quầy, có tiền là mua được. Cô bán thuốc cũng bập bẹ khuyên bảo, động viên …miễn là bán được hàng. Chỉ có bệnh nhân chịu hậu quả, có khi ân hận cả đời. Bệnh có tên là như vậy nhưng không ai bị bệnh giống ai. Vì vậy không thể tự điều trị bằng đọc sách hay qua kinh nghiệm hoặc qua truyền miệng."
Bác sĩ Cương cho biết cả bác sĩ Mỹ sang bệnh viện làm việc, bác sĩ Cương cũng đưa trường hợp của em D. ra hội chẩn cùng với mong muốn điều trị bệnh nhưng các bác sĩ Mỹ cũng lắc đầu.
