25 tuổi bị nhồi máu cơ tim vì thủ phạm triệu người mê
![]() |
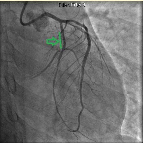
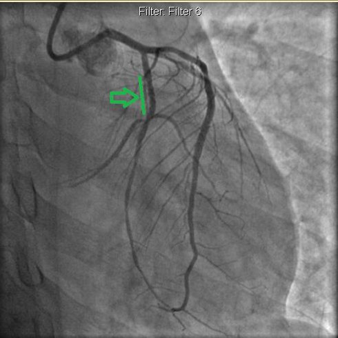
Hình ảnh chụp mạch vành sau khi được đặt 1 stent trên LCX1 và tái lưu thông tốt.Ảnh BVCC |
25 tuổi đã nhồi máu cơ tim
Bệnh nhân H.V.L . sinh năm 1994, hoàn toàn chưa có bệnh lý mạn tính, tiền căn gia đình không ghi nhận gì nổi bật. Bệnh nhân mới hồi hương sau khoảng 5 năm đi lao động tại Châu Âu. Trong thời gian này, do thời tiết lạnh, nên L. thường xuyên hút thuốc lá, xấp xỉ 1 gói (20 điếu)/ngày.
Khoảng ba ngày nay, anh L. thường xuyên đau nhức toàn thân, khó thở hai thì phải nằm đầu cao, sốt nhẹ, ho đàm đục lượng ít và nổi bật là đau vùng ngực trái liên tục, mức độ trung bình đến nặng.
Các xét nghiệm tổng phân tích tế bào máu: Bạch cầu 21.8 K/uL (Neu 87 %). Tryglycerid 0.99 mmol/L, LDL-C 2.95 mmol/L, HDL-C 1.17 mmol/L. Các xét nghiệm chức năng gan, thận, điện giải đều trong giới hạn bình thường.
Các bác sĩ nghi ngờ viêm cơ tim nhưng trên nền men tim tăng nhanh. Các yếu tố cũng như kết quả siêu âm đều hướng về nhồi máu cơ tim. Ngay lập tức bệnh nhân được chụp mạch vành. Kết quả chụp mạch vành là nhánh mũ tắc hoàn toàn.
Triệu chứng đau ngực của bệnh nhân thuyên giảm ngay sau khi được can thiệp. Ngoài ra, BN tươi tỉnh hơn, bớt khó thở, ăn uống khá hơn và cử động được nhẹ nhàng trên giường. Xét nghiệm troponin giảm dần. Siêu âm tim kiểm tra thấy sức co bóp các thành cơ tim có cải thiện. Sau 5 ngày, bệnh nhân được ra viện kèm lời dặn uống thuốc mỗi ngày theo toa và khám hằng tháng tại chuyên khoa tim mạch.
Theo bác sĩ Ngô Võ Ngọc Hương - Khoa Tim mạch tổng quát, Bệnh viện Nhân dân 115 trường hợp của anh L. là một bài học lâm sàng đáng lưu ý về nhồi máu cấp ở người trẻ và đòi hỏi thái độ tích cực tái lưu thông mạch vành sớm.
Bác sĩ Hương cho biết nhồi máu cơ tim là một biến cố tim mạch cấp tính nguy hiểm. Bệnh lý này thường gặp trên các đối tượng trung niên, nam giới, có thói quen hút thuốc lá, tiền căn tăng huyết áp, đái tháo đường, rối loạn lipid máu. Tuy nhiên, theo các quan sát gần đây, tuổi trung bình của các bệnh nhân (BN) NMCT đang dần trẻ hóa. Đã có không ít các trường hợp mắc bệnh khi tuổi đời chưa đến 30. Tình huống lâm sàng sau đây của chúng tôi về bệnh nhân H.V.L là một ví dụ điển hình cho nhận định này.
Dấu hiệu nhồi máu cơ tim
Trong số các bệnh nhân bị nhồi máu cơ tim cấp tính, 70% các trường hợp tử vong là do tắc nghẽn từ các mảng xơ vữa động mạch.
Một số yếu tố nguy cơ gây nhồi máu cơ tim cấp như hút thuốc lá, lười vận động, không vận động thường xuyên. Những người có tiền sử tăng huyết áp, đái tháo đường, gout...
Người có chế độ ăn không lành mạnh, bệnh béo phì, rối loạn mỡ máu di truyền (tăng Cholesterol, Triglycerid) những yếu tố này góp phần thúc đẩy tổn thương mạch máu theo thời gian. Chính những rối loạn này làm thành mạch máu dễ bị các phân tử cholesterol lắng đọng và bám vào.
Ngoài ra, nguy cơ nhồi máu cơ tim cấp còn bị ảnh hưởng từ một số yếu tố như: tuổi tác, giới tính, tiền sử gia đình có bệnh lý tim mạch
Triệu chứng điển hình của nhồi máu cơ tim cấp là đau ngực và khó thở, thì các triệu chứng xuất hiện rất đa dạng, phổ biến gồm có những triệu chứng như tức nặng ngực, đau ở ngực, lưng, hàm và các nơi khác ở nửa trên cơ thể kéo dài trên 1 phút hoặc biến mất và quay trở lại, khó thở, đổ mồ hôi lạnh, buồn nôn, nôn, choáng váng hay chóng mặt đột ngột, nhịp tim nhanh, khả năng gắng sức bị giảm sút...
Điều quan trọng cần lưu ý là không phải tất cả những người nhồi máu cơ tim cấp đều trải qua các triệu chứng giống nhau và mức độ như nhau. Đau ngực là triệu chứng phổ biến nhất được báo cáo ở cả hai giới.
Khi phát hiện những dấu hiệu của nhồi máu cơ tim cấp, nên đến bệnh viện sớm nhất có thể để có những xử trí kịp thời nhằm giảm tỷ lệ tử vong.
Phòng nhồi máu cơ tim, cách tốt nhất đó là xây dựng một phù hợp và luyện tập thể dục trong phòng ngừa bệnh tim mạch do xơ vữa động mạch đã được chứng minh hiệu quả. Thói quen ăn uống lành mạnh và tập thể dục thường xuyên sẽ làm giảm tỷ lệ mắc nhiều yếu tố nguy cơ bệnh tim mạch vành. Đối với bệnh nhân đã can thiệp thay đổi lối sống tối ưu nhưng vẫn chưa kiểm soát được các yếu tố nguy cơ, người bệnh nên tuân thủ điều trị theo chỉ định của các bác sĩ chuyên khoa.Đặc biệt, cần bỏ thuốc lá, giảm rượu bia, giảm cân, duy trì BMI dưới 23 kg/m2.
