Xương nhân tạo từ tế bào lợn có thể cấy ghép cho người
Theo các nhà nghiên cứu ở đại học Columbia tại New York, Mỹ, phần xương được chỉnh sửa thiết kế đã được sử dụng vào việc sửa chữa thành công hàm dưới có cấu tạo phức tạp của lợn, mở đường cho việc tái tạo xương ở những nơi khác trong cơ thể người.
Xương thường có hình dạng phức tạp, gây khó khăn cho việc tìm kiếm những phần thay thế phù hợp ở những bệnh nhân có xương bị tổn thương do tai nạn, bệnh tật hoặc dị tật bẩm sinh, theo Live Science.
Mặc dù bác sĩ phẫu thuật có thể thay thế phần xương bị mất bằng titan, nhưng bản thân phần cấy ghép nhân tạo này lại thiếu tủy xương, thành phần đóng nhiều vai trò quan trọng trong cơ thể, chẳng hạn như tạo ra các tế bào hồng cầu và bạch cầu.
Bệnh nhân có thể ghép xương hiến tặng, nhưng điều đó cũng đặt ra các vấn đề khác, chẳng hạn như tăng nguy cơ đào thải. Ngoài ra, các bác sĩ có thể lấy xương từ một phần khác của cơ thể bệnh nhân và ghép nó vào nơi cần thiết, nhưng điều này lại gây ra tổn thương tại vùng bị lấy xương, khiến người bệnh đau đớn.
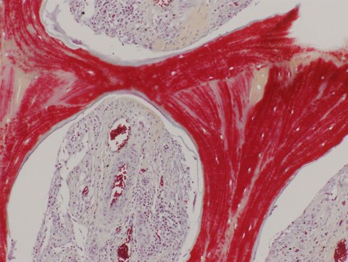
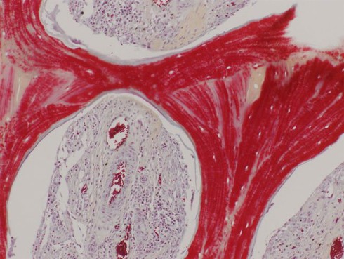
![]() |
Hình ảnh này cho thấy xương tái sinh, với chất nền khoáng (màu đỏ) và hệ mạch phát triển (mạch máu với các tế bào hồng cầu trong xoang). (Ảnh: Sarindr Bhumiratana) |
Các nhà khoa học hy vọng sẽ tái tạo thành công xương trong phòng thí nghiệm. Họ tập trung vào các đơn vị Ramus-condyle, một bộ phận của hàm dưới gắn với hộp sọ ở khu vực gần tai và là xương chịu lực chính của vùng mặt. Họ đã thử nghiệm trên lợn Yucatán, vì cấu tạo và cơ chế hoạt động hàm của chúng khá giống với con người.
Đầu tiên, các nhà nghiên cứu tách một khúc lớn từ xương đùi bò và tẩy hết các tế bào bằng enzyme và chất tẩy rửa. Sau đó họ đẽo những khối xương đã mất tế bào này sao cho nó vừa khít với phần Ramus-condyle đã tách bỏ từ lợn rồi cấy vào giàn xương các tế bào gốc lấy từ mỡ lợn.
Cuối cùng, họ đặt chúng trong các "lò phản ứng sinh học" để các tế bào gốc này được cung cấp oxy và chất dinh dưỡng. Sau ba tuần, các tế bào gốc phát triển thành xương sống chưa trưởng thành.
"Mẫu xương được tạo thành bởi các tế bào của bên được tiếp nhận", kỹ sư sinh học Gordana Vunjak-Novakovic, tác giả cấp cao của công trình nghiên cứu cho biết.
Nếu cách ghép xương này được sử dụng trong điều trị, chúng có thể được tái tạo từ những địa điểm cách xa nơi tiến hành cấy ghép. Để xem các phần cấy ghép của họ sẽ phát triển thế nào trong điều kiện như vậy, Vunjak-Novakovic và các đồng nghiệp đã chế tạo xương và cấy ghép tại hai địa điểm cách nhau hơn 1.200 dặm (1.930km), đó là thành phố New York và Baton Rouge (bang Louisiana).
Các tế bào mỡ đã được tách từ lợn và vận chuyển đến cho các chuyên gia, và các phần cấy ghép, cùng với các lò phản ứng sinh học để duy trì chúng, được vận chuyển quay trở lại phòng thí nghiệm lớn.
6 tháng sau phẫu thuật, những phần cấy ghép đã kết hợp thành công vào cơ thể vật chủ và tái tạo xương mà không có bất kỳ biến chứng nào.
"Điều bất ngờ là các phần xương được tạo ra trong phòng thí nghiệm sau khi cấy ghép đã dần được thay thế bởi xương mới được hình thành từ chính cơ thể", Vunjak-Novakovic cho biết.
![]() |
Sơ đồ mô tả kỹ thuật phát triển mô xương. Trong nghiên cứu, giàn xương được cấy tế bào gốc lấy từ mỡ của lợn. (Ảnh: S. Bhumiratana). |
"Điều này cho thấy phần xương được cấy ghép đã trở thành một phần tự nhiên của xương gốc".
Vunjak-Novakovic lưu ý rằng chất lượng của các mô tái sinh đã vượt qua các phương pháp trước đây. Hơn nữa, giàn xương cho phép hình thành xương mà không cần sử dụng các hóa chất đắt tiền như các phương pháp trước đây thường phụ thuộc vào.
"Đây là một bước tiến rất thú vị trong việc cải thiện y học tái tạo cho bệnh nhân bị dị tật vùng sọ và mặt. Chúng tôi hy vọng sẽ thử nghiệm lâm sàng trong vài năm tới", ông nói.
Các thử nghiệm cấy ghép xương lâm sàng sẽ được tiến hành thông qua công ty của Vunjak-Novakovic mang tên epiBone.
"Được nghiên cứu một công nghệ tiên tiến và có khả năng trở thành một phần của tương lai là một điều vô cùng hấp dẫn và tràn đầy cảm hứng", tác giả chính của nghiên cứu này, Sarindr Bhumiratana, nghiên cứu sinh sau tiến sĩ tại Đại học Columbia kiêm giám đốc khoa học tại epiBone nói.
Các nhà khoa học đang thử nghiệm thêm vào một lớp sụn lên phần cấy ghép xương sống để mô phỏng xương tự nhiên tốt hơn.
"Sụn là một lớp mô mỏng và linh hoạt mà nằm ở đầu của hầu hết các xương của chúng ta, giúp giảm ma sát khi chuyển động", Vunjak-Novakovic cho biết. Công trình được công bố trên tạp chí Science Translational Medicine hôm 15/6.
Theo VnExpress

