Triệu chứng, nguyên nhân bệnh sùi mào gà không chữa khỏi được?
Bác sĩ Trần Thị Thanh Nho – Nguyên bác sĩ khoa da liễu Bệnh viện Hữu Nghị Việt Đức cho biết ngày càng có nhiều bệnh nhân bị sùi mào gà đến khám trong đó có những trường hợp bị nặng như cây súp lơ. Ngoài các bệnh sùi mào gà những bệnh hoa liễu khác như giang mai, lậu, bệnh hạ cam thậm chí là ngay cả rận mu.
Bạn Nguyễn Văn H. trú tại Vinh, Nghệ An đau khổ tâm sự cậu bị mắc bệnh sùi mào gà ở hậu môn đã hơn 1 năm nay do quan hệ tình dục đồng tính. Ban đầu bị cả phía trong lẫn phía ngoài hậu môn. Bị sùi mào gà khiến H. vô cùng khốn khổ. Cậu đã tốn rất nhiều tiền đi chữa ở các nơi từ đốt điện đến chấm axit nhưng bác sĩ chỉ xử lý được ở phần ngoài còn ẩn sâu bên trong không thể nào can thiệp được vì thế cứ một thời gian sùi mào gà phát triển mạnh là H. phải đi bệnh viện một lần.
Bác sĩ Nho cho biết trường hợp của H. chỉ là một trong số hàng ngàn trường hợp bà đã điều trị cho các bệnh hoa liễu. Hơn 30 năm gắn bó với khoa da liễu, bác sĩ Nho cho biết càng gần đây càng nhiều người bị các bệnh lây qua đường tình dục. Quan hệ tình dục không an toàn có thể gây nên nhiều bệnh khác nhau ở các chủng như với vi khuẩn: Gây bệnh lậu, giang mai, hạ cam, liên cầu B, lỵ trực trùng…; Vi rút: Gây bệnh viêm gan B, viêm gan C, HIV, herper, sùi mào gà,…; Liên thể vi khuẩn và virus: gây bệnh chlammydia, ureaplasma,...; Ký sinh trùng: gây bệnh trùng roi, rận mu, nấm men….
Trong đó bác sĩ Nho cảnh báo bệnh sùi mào gà là bệnh đặc biệt chú ý vì đặc lý của bệnh là dễ tái phát, không điều trị được tận gốc. Sùi mào gà là gây khó chịu và mất tự tin cho người bệnh. Thậm chí có thể rơi vào lãnh cảm tình dục vì bị sùi mào gà nhất là ở phụ nữ.
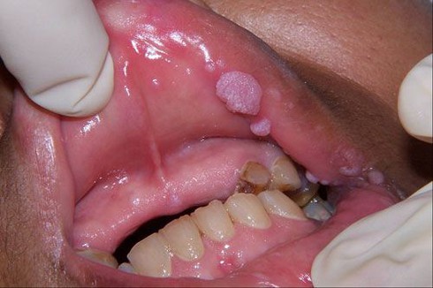
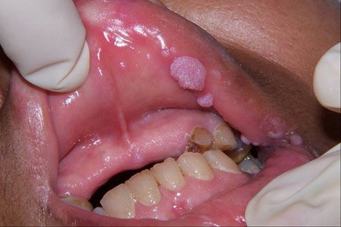
![]() |
Biểu hiện bệnh sùi mào gà ở miệng (ảnh: internet) |
Một số chủng HPV có thể gây ung thư cổ tử cung, ung thư dương vật dù virus không biểu hiện ra bệnh sùi mào gà.
TS Lê Hữu Doanh – Phó Giám đốc Bệnh viện Da liễu Trung ương cho biết hiện nay các bệnh lây qua đường tình dục được chẩn đoán tại cơ sở y tế công, sùi mào gà chiếm tỷ lệ cao nhất. Độ tuổi mắc nhiều nhất từ 15 đến 49. Sau mỗi năm, số ca mắc mới tăng khoảng 10%. Trung bình mỗi năm có khoảng 1- 2 triệu người mắc các bệnh lây nhiễm qua đường tình dục.
![]() |
Số người bị lây bệnh qua đường tình dục ngày càng nhiều (ảnh minh họa) |
Để hạn chế lây bệnh qua đường tình dục, bác sĩ Doanh khuyên mọi người nên quản lý tốt và điều trị sớm các bệnh tình dục nếu có. Duy trì quan hệ tình dục một vợ một chồng hoặc chỉ một bạn tình ở cả 2 phía.

