Phát hiện u phổi, làm sao để biết có phải ung thư không?
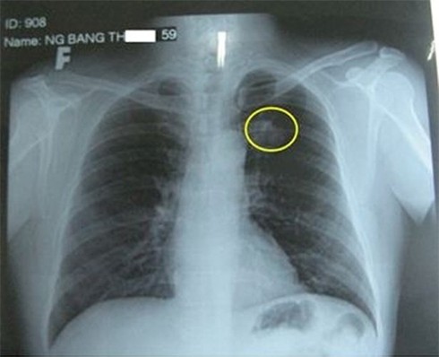
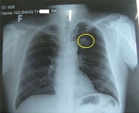
Phát hiện u trong phổi, muốn biết u lành hay u ác thì phải kiểm tra như thế nào?
![]() |
Đào Hương(dohuonghq@gmail.com)
PGS. TS Trần Văn Thuấn (BV K trung ương) trả lời:
Bạn nên đưa bố đi khám ở cơ sở ung bướu để đánh giá toàn thể, cơ quan hô hấp cũng như các cơ quan khác. Chẩn đoán ung thư phổi cần phải sinh thiết mới có chẩn đoán cuối cùng.
Nguồn SKĐS
Khởi động chương trình chăm sóc sức khỏe sinh sản, cải thiện hiếm muộn
Theo thống kê của Tổ chức Y tế Thế giới (WHO), Việt Nam hiện là một trong những quốc gia có tỷ lệ vô sinh cao trên thế giới.
Bác sĩ vào trường mầm non, chỉ cách ăn uống và sơ cứu cho trẻ
Tại Việt Nam, trong 10 năm (2010-2020), tỉ lệ suy dinh dưỡng thấp còi ở trẻ em giảm từ 23,4% xuống 14,8%. Ngược lại, tình trạng thừa cân, béo phì tăng vọt, từ 8,5% lên 19%.
500 sinh viên đồng hành phòng chống bệnh dại
500 sinh viên từ các trường y dược, Học viện Thanh thiếu niên Việt Nam sẽ là những đại sứ trong chương trình phòng chống bệnh dại và phát triển bền vững.
68 người tử vong do bệnh dại
Chỉ trong vòng một tháng (từ 18/10 đến 17/11), cả nước ghi nhận 6 ca tử vong do bệnh dại, cộng dồn từ đầu năm đến nay đã có 68 người chết do căn bệnh này.
Mận khô California - món ăn nhẹ nhiều dưỡng chất, thơm ngon và tiện lợi
Mận khô California được lựa chọn như một thực phẩm cao cấp cho một bữa ăn nhẹ lành mạnh.
Bệnh viện FV dành gần 200 tỷ đồng đầu tư hệ thống xạ phẫu bằng robot tích hợp AI
Bệnh viện FV vừa công bố đầu tư hệ thống xạ phẫu CyberKnife S7 - hệ thống xạ phẫu bằng robot có thể điều trị khối u ở bất kỳ vị trí nào trên cơ thể mà không cần phẫu thuật.
Hơn 1.400 nhân viên y tế thôn bản được nâng cao kiến thức ứng phó đại dịch
1.011 cán bộ của 27 trạm y tế và 1.412 nhân viên y tế thôn bản và cộng tác viên y tế tại các huyện dự án đã được tập huấn nâng cao kiến thức và kỹ năng cơ bản để ứng phó với đại dịch.
Mua thuốc trực tuyến qua ứng dụng VNeID
Người dân sẽ dễ dàng mua thuốc trực tuyến an toàn, tiện lợi thông qua giải pháp kết nối app-to-app giữa ứng dụng Nhà thuốc Long Châu và VNeID.
1.300 bệnh nhân khó khăn được Vinamilk hỗ trợ mổ tim và mổ mắt
Vinamilk tiếp tục phối hợp với Hội Bảo trợ Bệnh nhân nghèo TP.HCM hỗ trợ mổ tim cho hơn cho 300 bệnh nhi mắc dị tật tim bẩm sinh và gần 1.000 bệnh nhân nghèo cần được phẫu thuật mắt.
Thái Bình: nâng cao kiến thức chăm sóc dinh dưỡng cho mẹ và bé
Vinamilk phối hợp với Hội Liên hiệp Phụ nữ Thái Bình tổ chức Hội thảo “Dinh dưỡng đủ đầy cho mẹ và bé”, góp phần nâng cao hiệu quả chăm sóc sức khỏe cộng đồng. Sự kiện thu hút 300 phụ nữ tại Thái Bình tham gia.
