Phân biệt sự khác nhau giữa virus, vi khuẩn và kí sinh trùng
Virus - nguyên nhân gây bệnh từ cảm lạnh đến Ebola
Theo Business Insider, virus tồn tại từ rất lâu. Virus xuất hiện đầu tiên và có thể là tổ tiên xa xưa nhất của con người.
Virus giúp xây dựng bộ gene của tất cả các loài, bao gồm con người. Bộ gene của chúng ta chứa đến 50% ADN từ retrovirus (virus chứa vật chất di truyền là phân tử ARN.
Ngoài ra, virus có thể mở đường cho việc hình thành nhiều enzyme sao chép ADN, đóng vai trò thiết yếu cho sự phân chia và phát triển của tế bào.
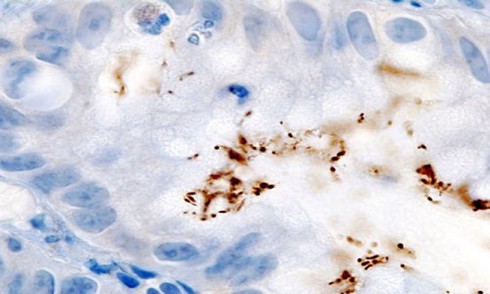
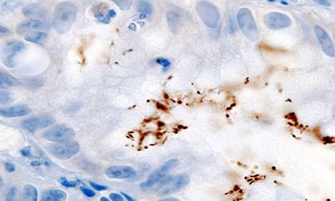
![]() |
Hình ảnh hiển vi của virus gây bệnh dại (Rabdoviridae). Ảnh: Sanofi Pasteur/Flickr. |
Virus có khả năng gây bệnh truyền nhiễm đối với con người và động vật, một số loại thậm chí còn có khả năng lây bệnh từ động vật sang người và ngược lại. Vòng đời virus có hai giai đoạn. Khi chúng ở ngoài tế bào, chúng được gọi là những hạt virion vô sinh.
Khi lọt vào tế bào, chúng lợi dụng bộ máy của tế bào để nhân bản. Một số nhà khoa học cho rằng, virus tồn tại ở dạng hữu sinh khi ở trong tế bào.
Một vài loại virus, như virus cảm lạnh, có thể làm chúng ta ốm yếu nhưng không để lại hậu quả lâu dài. Trong khi đó, nhiều virus khác mang mầm bệnh chết chóc.
Ví dụ, một chủng đại dịch cúm có thể lây lan nhanh trong thời gian ngắn. Trên thế giới, khoảng 201.200 người chết do hô hấp cấp và 83.300 trường hợp tử vong khác liên quan đến tim mạch trong đại dịch cúm H1N1 năm 2009.
Dù tiếp xúc với các phân tử virus hàng ngày, không phải lúc nào chúng ta cũng nhiễm bệnh, do hệ miễn dịch có thể giải quyết phần lớn các loại virus này. Chúng ta chỉ ốm khi lần đầu tiên tiếp xúc với virus mới hoặc bị phơi nhiễm với một số lượng lớn virus.
Đó là lý do các cơ quan y tế luôn khuyến khích tiêm chủng cúm định kỳ hàng năm. Các chủng cúm thông thường có thể thay đổi mỗi năm, và khả năng miễn dịch từ lần nhiễm bệnh trước đó hoặc qua vắc-xin không thể bảo vệ chúng ta trong trường hợp tiếp xúc với chủng đã biến đổi.
Khả năng lây lan và tái tạo nhanh chóng làm cho một số loại virus trở thành tác nhân gây bệnh đáng sợ, đến mức được coi là vũ khí hủy diệt hàng loạt. Ngoài ra, một số virus giết người một cách từ từ, điển hình là virus bệnh dại với thời gian ủ bệnh dài (1 - 3 tháng).
Tuy bệnh có thể phòng ngừa bằng vắc-xin, khi các triệu chứng xuất hiện, người bệnh gần như chắc chắn tử vong.
Vắc-xin là cách phòng chống virus tốt nhất. Vắc-xin kích hoạt phản ứng miễn dịch, cho phép cơ thể phản ứng hiệu quả hơn khi nhiễm bệnh.
Vắc-xin cũng làm giảm độ nguy hiểm của nhiều loại virus có thể gây chết người như bệnh sởi, rubella, cúm và bệnh đậu mùa. Ngoài ra, rửa tay và che mũi khi hắt hơi là những cách giúp hạn chế virus lây lan.
Vi khuẩn - những kẻ xâm nhập mang độc tố
Một số vi khuẩn có lợi cho chúng ta, cung cấp hệ thống bảo vệ chống các tác nhân gây bệnh và giúp ích cho quá trình tiêu hóa đường ruột. Tuy nhiên, một số loại không lành tính như vậy.
Các loại vi khuẩn chuyên gây bệnh phổ biến là nhiễm khuẩn tụ cầu (Staphylococcus aureus), ngộ độc (Clostridium botulinum), bệnh lậu (Neisseria gonorrhoeae), loét dạ dày (Helicobacter pylori), bạch hầu (Corynebacterium diphtheriae) và bệnh dịch hạch (Yersinia pestis).
![]() |
Nhận diện miễn dịch đối với mô bệnh Helicobacter. Ảnh: KGH/Wikimedia Commons. |
Độc tố vi khuẩn sản xuất sẽ xâm nhập vào các tế bào hoặc mạch máu, hoặc cạnh tranh chất dinh dưỡng với vật chủ, từ đó dẫn đến nguy cơ mắc bệnh. Các phương pháp điều trị phải phụ thuộc vào cách thức vi khuẩn gây bệnh.
Ví dụ, trong trường hợp ngộ độc, người mắc bệnh khi ăn phải thực phẩm nhiễm độc hoặc các bào tử vi khuẩn C. botulinum. Khi bệnh nhân hấp thụ độc tố, các triệu chứng sẽ xuất hiện trong vòng 6 - 36 giờ. Nếu nuốt phải bào tử, các triệu chứng này chỉ xuất hiện sau một tuần.
Chăm sóc hỗ trợ là phương pháp điều trị chính nhằm ngăn chặn hoặc làm giảm các biến chứng và duy trì sức khỏe bệnh nhân. Các loại kháng sinh điều trị nhiễm trùng bằng cách tiêu diệt vi khuẩn, nhưng đối với ngộ độc, vi khuẩn khi bị tiêu diệt có thể tiết ra nhiều độc tố khiến bệnh trầm trọng hơn.
Các bác sĩ điều trị độc tố bằng cách dùng thuốc kháng độc hoặc khiến bệnh nhân ói mửa. Ngày nay, do sự lạm dụng và sử dụng sai kháng sinh, vi khuẩn kháng thuốc ngày càng tăng. Vào năm 2013, khoảng 480.000 trường hợp mắc bệnh lao kháng thuốc (MDR-TB).
Sử dụng thay phiên các loại kháng sinh khác nhau có thể làm giảm nguy cơ kháng thuốc. Hiện nay, các nhà nghiên cứu đang phát triển một số phương pháp khác, như sử dụng virus kháng khuẩn phage (một loại virus giết chết vi khuẩn) hay enzyme có khả năng phá hủy bộ gene của vi khuẩn kháng thuốc. Trong thực tế, virus kháng khuẩn đang được sử dụng rộng rãi ở Đông Âu.
Các vắc-xin dành cho vi khuẩn như vắc-xin DPT chống bạch hầu, ho gà và uốn ván đang được sử dụng phổ biến. Ngoài ra, nhiều giải pháp đơn giản có thể giúp ngăn chặn vi khuẩn gây bệnh như rửa tay đúng cách, khử trùng bề mặt các dụng cụ, sử dụng nước sạch và nấu ăn với nhiệt độ thích hợp để loại bỏ vi khuẩn.
Ký sinh trùng - kẻ ăn bám cơ thể chúng ta
![]() |
Một con muỗi Aedes aegypti cái trên cánh tay của kỹ thuật viên y tế tại phòng thí nghiệm nghiên cứu cách ngăn chặn sự lây lan của virus Zika và các bệnh do muỗi truyền khác ở Guatemala hôm 4/2/2016. Ảnh: Thomson/Reuters. |
Ký sinh trùng, nhóm thứ ba trong bộ ba mầm bệnh, là tên gọi chung cho nhiều sinh vật đa dạng, sống trong hoặc trên cơ thể vật chủ và ăn bám vật chủ đó, bao gồm con người.
Ký sinh trùng bao gồm sinh vật đơn bào như protozoa, hoặc sinh vật lớn hơn như giun hoặc bọ ve. Ký sinh trùng đơn bào có nhiều điểm chung với các tế bào cơ thể người hơn so với các loại vi khuẩn. Ký sinh trùng có ở khắp nơi, đóng một vai trò quan trọng và phức tạp trong hệ sinh thái.
Ký sinh trùng cũng có thể gây ra nhiều bệnh, đặc biệt ở nước đang phát triển. Trong nhiều trường hợp, bệnh nhiễm ký sinh trùng thường đi kèm điều kiện vệ sinh thiếu thốn và đói nghèo. Bệnh sốt rét cứ 30 giây lại giết chết trẻ em và 90% ca nhiễm bệnh tập trung ở châu Phi.
Đây là bệnh do ký sinh trùng gây chết người nhiều nhất, dù có nhiều tiến bộ trong việc ngăn chặn bệnh dịch này. Những bệnh do ký sinh trùng phổ biến khác như bệnh Leishmaniasis, bệnh giun chỉ và bệnh phù chân voi.
Nhiều ký sinh trùng truyền qua muỗi và các loại côn trùng. Với tình trạng biến đổi khí hậu ngày càng trầm trọng, nhiều bệnh ký sinh trùng đang lan rộng đến các khu vực phía bắc.
Hiện nay, các nhà nghiên cứu chưa tìm ra vắc-xin phòng bệnh ký sinh ở người, nhưng nhiều loại thuốc hiện nay có thể chống lại ký sinh trùng. Ví dụ, giải Nobel Y học 2015 được trao cho các nhà khoa học có công phát triển thuốc phòng chống ký sinh trùng (Ivermectin dùng cho giun và Artemisinin để điều trị bệnh sốt rét).
Theo VnExpress


