Khiếp đảm những hình ảnh bệnh lây qua đường tình dục
![]() |
lưng một người bị nhiễm bệnh giang mai |
Bạn hãy nhìn những hình ảnh sau đây để giúp mình có ý thức hơn trong việc phòng ngừa.
Giang mai. Đây là căn bệnh lây truyền qua đường tình dục gây ra bởi khuẩn xoắn Treponema pallidum. Đường lây truyền của bệnh giang mai hầu như luôn luôn là qua đường tình dục, mặc dù có những ca thí dụ về bệnh giang mai bẩm sinh do truyền từ mẹ sang con trong tử cung hoặc khi sinh.
![]() |
Giang mai là chứng bệnh đặc biệt nghiêm trọng với tình dục miệng. Theo thống kê của các nhà khoa học Hoa Kỳ, có đến 15% số bạn trẻ nước này mắc phải giang mai qua quan hệ miệng
![]() |
Mụn cóc sinh dục (HPV). Mụn cóc sinh dục là một trong những loại bệnh phổ biến nhất lây truyền qua đường tình dục. Như tên cho thấy, mụn cóc sinh dục nằm tại vùng sinh dục. Có thể mụn nhỏ như da gà, có màu hoặc có kích thước lớn giống như mào gà( sùi mào gà).
![]() |
Hạ cam là một bệnh lây truyền qua đường tình dục, do vi khuẩn Hemophilus ducreyi gây nên. Sau khi quan hệ tình dục với người bị bệnh hạ cam, trực khuẩn này xâm nhập vào vết trầy xước rất nhỏ ở bộ phận sinh dục, từ 3 – 5 ngày sau nổi mụn mủ nhỏ, nhanh chóng vỡ ra tạo thành vết loét. Theo thời gian, vết loét ngày càng to dần và tự lây nhiễm sang vùng kế cận, do đó bệnh nhân thường có nhiều vết loét.
![]() |
ung thư vòm họng |
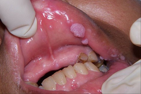
Ung thư vòm họng. Quan hệ bằng miệng sẽ làm tăng nguy cơ bị ung thư vòm họng. Bởi virut u nhú ở người (human papillomavirus - HPV) có thể lây truyền từ người này sang người khác qua đường miệng hoặc qua sự tiếp xúc giữa "cậu bé" và "cô bé".
![]() |
Nấm Chlamydia. Đây cũng là một căn bệnh gây ra bởi một loài vi khuẩn gây nhiễm trùng giống với virus gây bệnh lậu. Chlamydia không khó để chữa trị một khi biết có nó. Nếu nó không được điều trị, tuy nhiên, chlamydia có thể dẫn đến vấn đề sức khỏe nghiêm trọng hơn.
![]() |
Bệnh mụn rộp sinh dục trên cơ thể. |
Quan hệ đường âm đạo và đường miệng đều có khả năng lây nhiễm hai loại virus mụn rộp cơ bản là HSV1 và HSV2. Tuy nhiên, tình dục miệng có nguy cơ lây lan virus mụn rộp nhanh và rộng hơn.
![]() |
Bệnh lậu. |
Bệnh lậu. Đây là căn bệnh nhiễm trùng lây qua đường tình dục do vi khuẩn Neisseria gonorrhoea. Mặc dù bệnh được biết đến với con đường lây lan qua quan hệ tình dục, nhưng nó cũng có thể lây truyền từ mẹ sang con trong quá trình sinh nở.
![]() |
HIV |
HIV. Biểu hiện giống nhau ở nam và nữ, thường xuất hiện sau nhiều tháng hoặc nhiều năm kể từ khi bị lây nhiễm: sụt cân nhanh chóng và mệt mỏi không rõ nguyên nhân; biểu hiện giống cúm kéo dài; tiêu chảy kéo dài không rõ nguyên nhân, ho kéo dài, có vết loét ở miệng lâu ngày không khỏi, nhiễm nấm kéo dài. Bệnh lây chủ yếu qua 3 con đường: đường máu, tình dục và mẹ sang con.
![]() |
Chlamydia là loại vi khuẩn gây bệnh có thể lan truyền thông qua tất cả các hình thức quan hệ tình dục, bao gồm cả tình dục bằng miệng. Có khoảng 1/20 dân số Mỹ bị coi là nhiễn chlamydia.
![]() |
Ngoài những vết loét thông thường, chlamydia có thể làm tổn thương mắt người bị bệnh, gây đỏ mắt hoặc chứng viêm màng kết. Theo đó, đôi mắt bị tổn hại thường xuất phát từ việc chạm tay vào mắt sau khi dùng tay kích thích vùng kín.
![]() |
Sùi mào gà |
Sùi mào gà là một trong số 8 căn bệnh lây nhiễm qua đường tình dục, mức độ nguy hại của nó đối với sức khỏe con người không thể coi nhẹ. Sùi mào gà là bệnh lây truyền qua đường tình dục do nhiễm HPV, biểu hiện bằng các sẩn sùi mềm ở sinh dục ngoài có khi ở hậu môn hoặc vùng da khác như ở miệng. Tác nhân gây bệnh là HPV (human papiloma virus), thuộc loại papova virus có DNA. Chủ yếu lây truyền qua đường tình dục, còn có thể lây truyền qua tiếp xúc. Trẻ sơ sinh có thể bị lây bệnh từ người mẹ mắc bệnh trong lúc sinh đẻ.
Nguồn Giađình











