Con 2 tuổi mắc sùi mào gà chỉ vì nụ hôn của mẹ
![]() |
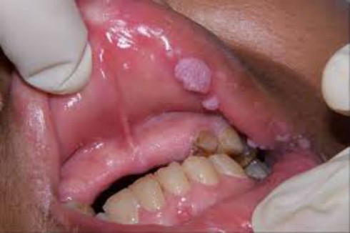
Hình ảnh sùi mào gà ở khoang miệng. |
Mẹ truyền sùi mào gà cho con
Mới đây, phòng khám của bác sĩ nam khoa Nguyễn Khắc Lợi vừa tiếp nhận chữa trị cho trường hợp bệnh nhân là hai mẹ con. Bệnh nhân đến khám với tâm trạng lo lắng. Chị Nguyễn Minh K. trú tại Long Biên, Hà Nội cho biết, gần đây chị thường xuyên xuất hiện các ổ sùi trong miệng và hàm mặt.
Sau khi đi khám tại một bệnh viện, bác sĩ cho biết chị bị sùi mào gà ở khoang miệng. Chị K. về nhà điều trị đã khỏi được một thời gian. Tuy nhiên, gần đây chị thấy con gái nhỏ 2 tuổi cũng có các biểu hiện xuất hiện ổ sùi quanh miệng và phần lưng. Chị K. hoang mang vô cùng vì em bé còn quá nhỏ. Chị đã đưa con đi kiểm tra kết quả dương tính với HPV – vi rút gây ra sùi mào gà ở người.
Ngay sau đó, chị K. đã đưa bé đi khám da liễu và điều trị nhưng bệnh chậm tiến triển. Khi đến phòng khám, bác sĩ cho biết quanh môi và miệng của chị K. vẫn còn xuất hiện ổ sùi li ti. Nguyên nhân khiến con chị bị sùi mào gà có thể do người mẹ hôn con mà không để ý.
Bệnh sùi mào gà ở phụ nữ rất khó điều trị, nhất là ở khu vực “nhạy cảm”. Theo các bác sĩ da liễu, đốt sùi mào gà chỉ làm ổn định bề mặt còn bên trong vẫn còn và bệnh có nguy cơ tái phát bất cứ lúc nào. Cho đến nay, phòng bệnh sùi mào gà chỉ có biên pháp tiêm phòng vắc xin ngừa HPV nhưng không phải ai cũng tiêm được.
Bệnh xảy ra ở tất cả mọi người
Trao đổi với Infonet, bác sĩ Nguyễn Khắc Lợi cho biết sùi mào gà là một bệnh lý u nhú ở người lây lan qua đường tình dục, do virus gây ra mang tên HPV (Human Papilloma Virus). Y học thế giới đã công bố tìm thấy có hơn 100 loài vi rút gây u nhú ở người, trong đó hơn 40 loài gây bệnh, đặc biệt type 16 và18 gây ung thư cổ tử cung ở nữ giới, type 6 và 11 gây sùi mào gà ở nam giới.
Hiện chưa có kháng sinh điều trị, vắc xin phòng bệnh chỉ có giá trị với người dưới 14 tuổi và chưa có quan hệ tình dục. Bệnh gây phiền toái đến đời sống, đến tâm sinh lý, đến tình dục. Trong một điều kiện thuận lợi nào đó có thể dẫn đến vô sinh và ung thư dương vật.
Những người dễ bị nhiễm HPV là những người có nhiều bạn tình, chung chạ bạn tình, quan hệ tình dục đồng giới, quan hệ tình dục thô bạo, vệ sinh kém, không cắt bao quy đầu khi bị chít hẹp, người suy giảm miễn dịch, nạo hút nhiều lần, đẻ nhiều lần.
Theo bác sĩ Lợi đường lây nhiễm chủ yếu của HPV là qua da và niêm mạc (cơ quan niệu - dục, hậu môn …) , quan hệ với người mang mầm bệnh HPV hoặc dịch tiết của người mang mầm bệnh. Điều khiến bác sĩ cũng như người bệnh lo lắng nhất là sùi mào gà còn có thể lây nhiễm qua việc sờ mó, hôn, quan hệ đồng tính, dùng chung khăn tắm, quần lót, đồ dùng cá nhân của người mang mầm bệnh HPV.
Chính vì thế, người trong gia đình bị sùi mào gà có thể lây cho các thành viên khác. Có người thì bị ở da, môi, lưỡi, lợi, họng, hạ họng, thanh quản, mắt, hậu môn, lỗ niệu đao ngoài - trong, bàng quang, bộ phận sinh dục.
Tuy nhiên, có những trường hợp bị ngoài da mà không biết cho rằng thịt thừa hay bệnh da nào đó mà không nhận biết ra đó là ổ sùi mào gà. Để lâu, các ổ sùi đẻ và “nở hoa” như bông hoa mào gà.
