Cô gái trẻ sinh ra đã không có tiểu não
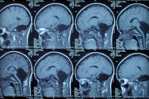
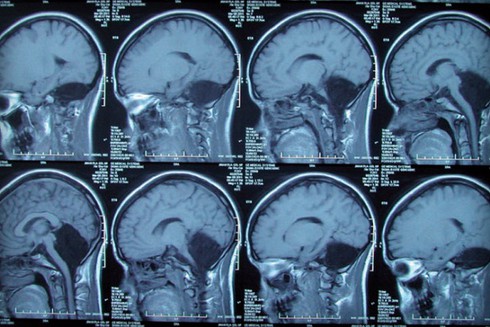
Sự việc chỉ được phát hiện khi cô gái trẻ đến khám tại bệnh viện PLA General (Trung Quốc) do bị chóng mặt. Sau khi xem ảnh chụp X-quang, các bác sỹ cho biết não của cô gái thiếu một thành phần rất quan trọng liên quan đến việc điều khiển hành vi là tiểu não.
![]() |
Tiểu não là một bộ phận nằm phía sau hộp sọ. Tuy được gọi là "tiểu não" nhưng thực tế thì nó chứa đến 50% tế bào thần kinh của bộ não.
Các bác sỹ cũng rất ngạc nhiên là tại phần tiểu não bị khuyết lại chứa dịch tủy não. Điều này có thể khiến cô gái trẻ sống khó khăn đến hết cuộc đời. Thực tế, đây cũng chính là lý do khiến cô gái đến 6 tuổi mới biết nói, và 7 tuổi mới tự đi lại được. Hơn nữa, cô cũng thường gặp khó khăn trong việc duy trì thăng bằng và điều này đã ảnh hưởng đến hầu hết các hoạt động trong cuộc sống hàng ngày của cô.
Các kết quả kiểm tra khác cũng cho thấy cô gái có thể nghe hiểu nhưng lại gặp khó khăn trong việc phát âm. Giọng của cô trầm và khó nghe. Tuy nhiên, may mắn là cô vẫn có một gia đình với chồng và một cô con gái.
Theo các nhà nghiên cứu, tính đến thời điểm hiện tại mới chỉ có 9 trường hợp thiết hụt tiểu não trên thế giới. Hầu hết các trường hợp người bệnh đều chết sớm. Chính vì vậy việc cô gái tại tỉnh Sơn Đông (Trung Quốc) vẫn có thể sống bình thường đã khiến giới khoa học không khỏi bất ngờ.
Theo The Verge/Vnreview
