Nghiện rượu, một người Hà Nội có tim to như 'trái bầu'
Nghiện rượu, một người Hà Nội có tim to như 'trái bầu'
Theo các bác sĩ, anh bị bệnh viêm cơ tim, có biểu hiện suy tim và nguyên nhân là do rượu gây ra.
Nhiễm độc rượu, tim to như “quả bầu”
Anh Nguyễn Văn H. cho biết, anh bắt đầu uống rượu từ năm 1991, nhưng khoảng 1 năm nay ngày nào anh cũng uống khoảng 0,5 lít.
Gần đây, anh thấy cơ thể không bình thường nên đi bắt mạch để cắt thuốc nam. Thầy thuốc bảo bệnh anh nặng rồi phải bỏ rượu. Anh bỏ rượu được 3 ngày thì phải nhập viện.
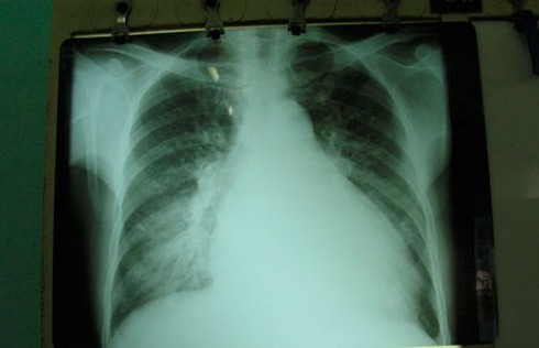
Bác sĩ CK II Vũ Đức Chung, Trưởng khoa Nội Tiêu hóa, Bệnh viện 354 cho biết, anh H. nhập viện với triệu chứng loạn thần do cai rượu. Khi kiểm tra thăm khám và xét nghiệm thì bệnh nhân còn bị xơ gan và đặc biệt khi chụp XQuang phát hiện tim bệnh nhân to như trái bầu (gấp hơn 1,5 lần so với bình thường), kết quả xét nghiệm suy tim.
![]() |
| Hình ảnh Xquang quả tim "khổng lồ" của anh H. |
Theo bác sĩ Chung, bệnh xơ gan và suy tim của bệnh nhân đều có nguyên nhân từ rượu. Mọi người thường nghĩ rượu làm hỏng gan nhưng thực tế tác hại từ rượu đến tim cũng rất lớn, đặc biệt là những người uống nhiều rượu trong một lần hay nghiện rượu dễ dẫn tới suy tim và viêm cơ tim cấp.
Rượu gây ra thiếu B1 làm cho người bệnh cảm thấy mệt mỏi, gầy sút, khó thở, phù, tím tái, giảm khả năng gắng sức… dần dần dẫn tới suy tim. Nhiễm độc rượu lâu dài dẫn tới viêm cơ tim cấp, gây nguy cơ tử vong cao.
Uống rượu nhiều 1 lần cũng hỏng tim
PGS.TS Nguyễn Quang Tuấn, Trưởng Khoa C4 Viện tim mạch quốc gia cũng cho biết, bệnh viêm cơ tim do rượu đang trở thành một vấn đáng quan tâm vì ngày càng có nhiều người mắc phải do uống rượu. Theo ước tính có tới 2/3 người trưởng thành có uống rượu và khoảng 10% uống rất nhiều rượu.
![]() |
| Bác sĩ thăm khám cho anh H. |
Có một sự liên quan giữa những biến chứng mạch máu não và uống rượu, nhất là trong vòng 24h sau khi uống rượu. Những rối loạn nhịp nhĩ hay nhịp thất, nhất là nhịp nhanh kịch phát cũng có thể xảy ra sau khi uống nhiều rượu ở những người bình thường.
Tổng số lượng rượu mà bệnh nhân uống có vai trò quan trọng gây ra bệnh cơ tim. Bởi rượu hay các chất chuyển hóa của rượu không chỉ gây độc trực tiếp lên tế bào cơ tim mà còn gây độc trực tiếp lên cơ vân. Các nghiên cứu trong giai đoạn cấp cho thấy rượu và các chất chuyển hoá của rượu làm cản trở các chức năng của tế bào và màng tế bào.
Nghiện rượu là một nguyên nhân quan trọng gây ra bệnh cơ tim giãn thứ phát không do thiếu máu cục bộ cơ tim và chiếm tới 1/3 các bệnh nhân bị bệnh giãn cơ tim. Nghiện rượu nặng có thể gây bệnh cơ tim với những triệu chứng như loạn nhịp tim, giãn các buồng tim, giảm sự co bóp cơ tim và cuối cùng là suy tim.
Vì những tác hại gây ra với sức khỏe, các chuyên gia đều khuyên không uống quá nhiều rượu bia. Khi có dấu hiệu sức khỏe không tốt, bệnh nhân cần đi khám ngay và uống giảm lượng rượu.
Theo Kiến thức

