Đầu năm vợ chồng suýt li hôn vì bệnh giang mai

Tại phòng khám sản khoa của bác sĩ Lê Thị Kim Dung thường xuất hiện các cặp vợ chồng đến khám bệnh xã hội trong đó có bệnh do xoắn khuẩn hay còn gọi giang mai gây nên.

Đầu năm vợ chồng suýt li hôn vì bệnh giang mai - ảnh 1

Tất niên rước bệnh giang mai

Bác sĩ Lê Thị Kim Dung cho biết bệnh giang mai do xoắn khuẩn nhạt có tên khoa học Treponema pallidum gây ra. Đây là loại xoắn khuẩn yếu, có thể sống dai dẳng hơn khi ở nơi ẩm ướt nhưng không sống được quá vài tiếng đồng hồ khi ra ngoài cơ thể. Những vi khuẩn này có tính truyền nhiễm cao và chủ yếu lây truyền qua đường tình dục. 

Cuốn sổ ghi tên bệnh nhân một năm trở lại đây có cặp vợ chồng anh chị Vũ Văn Thái trú tại Vũ Ngọc Phan, Đống Đa, Hà Nội là một điển hình. Theo như bệnh án lưu lại tại phòng khám, anh Thái và vợ bị giang mai. Vào mùa tất niên năm ngoái, sau tiệc liên hoan của cơ quan với đồng nghiệp, anh Thái và một vài người bạn rủ nhau đi ca ba. Chỉ một lần "mua hoa cao cấp" anh Thái mắc bệnh, về nhà truyền cho vợ. Anh Thái an tâm vì sử dụng "mại dâm cao cấp" nên chủ quan không sử dụng bao cao su.

Ngay sau bữa tất niên, cả dịp Tết anh Thái khó chịu vì ngứa ngáy vùng kín. Anh không dám nói cho vợ, vẫn "nộp bài" cho vợ đều đặn. Chỉ đến khi vợ anh cũng bị ngứa không chịu nổi, vùng kín xuất hiện các vết loét, chị đến phòng khám sản khoa. Sau các xét nghiệm chị biết mình bị giang mai. Trong khi đó, vợ anh Thái không quan hệ ngoài luồng. Khi biết mình mắc bệnh xã hội, chị đã dọa đòi ly hôn.

Tại phòng khám anh Thái nhăn mặt vì mới đầu năm đã dính chuyện không hay của gia đình. Tính từ ngày anh quan hệ với gái mại dâm đến khi bệnh khởi phát chưa đầy 2 tuần. Khi bác sĩ khuyên giải nhiều lần vợ chồng anh mới bớt gay gắt để cùng điều trị bệnh. Trường hợp của vợ chồng anh Thái rất may phát hiện sớm để được điều trị kịp thời khi bệnh chưa có nhiều biến chứng và biểu hiện khác.

Các cơ chế lây bệnh giang mai

Hiện nay, nhiều cặp vợ chồng mắc bệnh xã hội mà không biết mình mắc bệnh từ đâu. Nhiều vợ chồng đến phòng khám của bác sĩ Dung mới phát hiện ra giang mai. Họ thề thốt chung thủy nhưng không hiểu vì sao mình mắc bệnh. Lý giải về điều này, bác sĩ Dung cho biết bệnh xã hội như giang mai là điển hình và cơ chế lây bệnh cũng nhiều, không chỉ qua đường tình dục.

Đầu năm vợ chồng suýt li hôn vì bệnh giang mai - ảnh 2

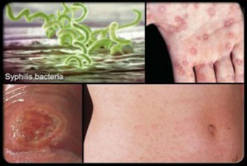
Hình ảnh biểu hiện bên ngoài của bệnh giang mai

Hiện nay, bệnh giang mai lây nhiễm do tiếp xúc trực tiếp. Họ có thể mắc bệnh nếu tiếp xúc trực tiếp như ôm hôn hoặc có quan hệ tình dục với người bệnh. Da và niêm mặc của bộ phận sinh dục tương đối mỏng nên khi có quan hệ tình dục, vùng da này dễ bị tổn thương, tạo điều kiện thuận lợi cho vi khuẩn giang mai xâm nhập vào cơ thể.

Giang mai lây qua đường máu. Vì thế, bất kì hình thức liên quan đến việc tiêm chích, truyền máu... đều có thể làm cho mầm bệnh xâm nhập vào cơ thể khỏe mạnh. Hiện nay, trước khi truyền máu các bác sĩ đều thử máu để tìm các bệnh giang mai, viêm gan B, sốt rét và HIV.

Ngoài ra, việc sử dụng hoặc dùng chung quần áo, khăn mặt có dính nội tiết mang vi trùng của người mắc bệnh giang mai thì đều có nguy cơ mắc bệnh giang mai. Vi khuẩn giang mai tấn công ở các vết thương hở trên da, niêm mạc.

Dấu hiệu để nhận biết bệnh giang mai, biểu hiện ban đầu là ngứa ngáy, nổi ban. Để lâu, giang mai sẽ có triệu chứng sốt, hạch bạch huyết sưng to, không đau, kèm theo đau đầu, đau cơ, đau khớp, chán ăn, cơ thể suy nhược. Niêm mạc da xuất hiện nốt ban có hình cánh hoa hồng, mụn mủ, nổi ban ở vùng niêm mạc ở môi, khoang miệng, quy đầu.

Ngoài ra còn có các triệu chứng khác như rụng tóc, rụng lông, nốt ban giảm màu hoặc chuyển sang thâm. Lâu dần các triệu chứng này tự mất và biến chứng sang các thể khác. Bệnh rất nguy hiểm, có thể mang lại các biến chứng như viêm não, viêm dây thần kinh, viêm giác mạc, võng mạc. Điều trị bệnh không dứt điểm có thể dẫn đến vô sinh.

Khánh Ngọc

Khởi động chương trình chăm sóc sức khỏe sinh sản, cải thiện hiếm muộn

Theo thống kê của Tổ chức Y tế Thế giới (WHO), Việt Nam hiện là một trong những quốc gia có tỷ lệ vô sinh cao trên thế giới.

Bác sĩ vào trường mầm non, chỉ cách ăn uống và sơ cứu cho trẻ

Tại Việt Nam, trong 10 năm (2010-2020), tỉ lệ suy dinh dưỡng thấp còi ở trẻ em giảm từ 23,4% xuống 14,8%. Ngược lại, tình trạng thừa cân, béo phì tăng vọt, từ 8,5% lên 19%.

500 sinh viên đồng hành phòng chống bệnh dại

500 sinh viên từ các trường y dược, Học viện Thanh thiếu niên Việt Nam sẽ là những đại sứ trong chương trình phòng chống bệnh dại và phát triển bền vững.

68 người tử vong do bệnh dại

Chỉ trong vòng một tháng (từ 18/10 đến 17/11), cả nước ghi nhận 6 ca tử vong do bệnh dại, cộng dồn từ đầu năm đến nay đã có 68 người chết do căn bệnh này.

Mận khô California - món ăn nhẹ nhiều dưỡng chất, thơm ngon và tiện lợi

Mận khô California được lựa chọn như một thực phẩm cao cấp cho một bữa ăn nhẹ lành mạnh.

Bệnh viện FV dành gần 200 tỷ đồng đầu tư hệ thống xạ phẫu bằng robot tích hợp AI

Bệnh viện FV vừa công bố đầu tư hệ thống xạ phẫu CyberKnife S7 - hệ thống xạ phẫu bằng robot có thể điều trị khối u ở bất kỳ vị trí nào trên cơ thể mà không cần phẫu thuật.

Hơn 1.400 nhân viên y tế thôn bản được nâng cao kiến thức ứng phó đại dịch

1.011 cán bộ của 27 trạm y tế và 1.412 nhân viên y tế thôn bản và cộng tác viên y tế tại các huyện dự án đã được tập huấn nâng cao kiến thức và kỹ năng cơ bản để ứng phó với đại dịch.

Mua thuốc trực tuyến qua ứng dụng VNeID

Người dân sẽ dễ dàng mua thuốc trực tuyến an toàn, tiện lợi thông qua giải pháp kết nối app-to-app giữa ứng dụng Nhà thuốc Long Châu và VNeID.

1.300 bệnh nhân khó khăn được Vinamilk hỗ trợ mổ tim và mổ mắt

Vinamilk tiếp tục phối hợp với Hội Bảo trợ Bệnh nhân nghèo TP.HCM hỗ trợ mổ tim cho hơn cho 300 bệnh nhi mắc dị tật tim bẩm sinh và gần 1.000 bệnh nhân nghèo cần được phẫu thuật mắt.

Thái Bình: nâng cao kiến thức chăm sóc dinh dưỡng cho mẹ và bé

Vinamilk phối hợp với Hội Liên hiệp Phụ nữ Thái Bình tổ chức Hội thảo “Dinh dưỡng đủ đầy cho mẹ và bé”, góp phần nâng cao hiệu quả chăm sóc sức khỏe cộng đồng. Sự kiện thu hút 300 phụ nữ tại Thái Bình tham gia.

Đang cập nhật dữ liệu !